PA5-66355
antibody from Invitrogen Antibodies
Targeting: WASHC2A
bA56A21.1, bA98I6.1, FAM21A, FAM21B, FLJ10824
Antibody data
- Antibody Data
- Antigen structure
- References [0]
- Comments [0]
- Validations
- Immunocytochemistry [1]
- Immunohistochemistry [4]
Submit
Validation data
Reference
Comment
Report error
- Product number
- PA5-66355 - Provider product page

- Provider
- Invitrogen Antibodies
- Product name
- FAM21A Polyclonal Antibody
- Antibody type
- Polyclonal
- Antigen
- Recombinant protein fragment
- Description
- Immunogen sequence: SVERTKPKAKI AENPANPPVG GKAKSPMFPA LGEASSDDDL FQSAKPKPAK KTNPFPLLED EDDLFTDQKV KKNE Highest antigen sequence identity to the following orthologs - mouse 51%, rat 59%.
- Reactivity
- Human
- Host
- Rabbit
- Isotype
- IgG
- Vial size
- 100 μL
- Concentration
- 0.08 mg/mL
- Storage
- Store at 4°C short term. For long term storage, store at -20°C, avoiding freeze/thaw cycles.
No comments: Submit comment
Supportive validation
- Submitted by
- Invitrogen Antibodies (provider)
- Main image

- Experimental details
- Immunofluorescent staining of FAM21A in human cell line HeLa shows localization to vesicles. Samples were probed using a FAM21A Polyclonal Antibody (Product # PA5-66355).
Supportive validation
- Submitted by
- Invitrogen Antibodies (provider)
- Main image

- Experimental details
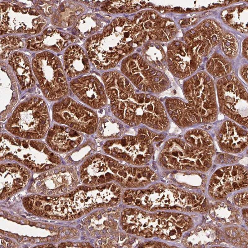
- Immunohistochemical analysis of FAM21A in human kidney using FAM21A Polyclonal Antibody (Product # PA5-66355) shows strong cytoplasmic granular positivity in cells in tubules.
- Submitted by
- Invitrogen Antibodies (provider)
- Main image

- Experimental details
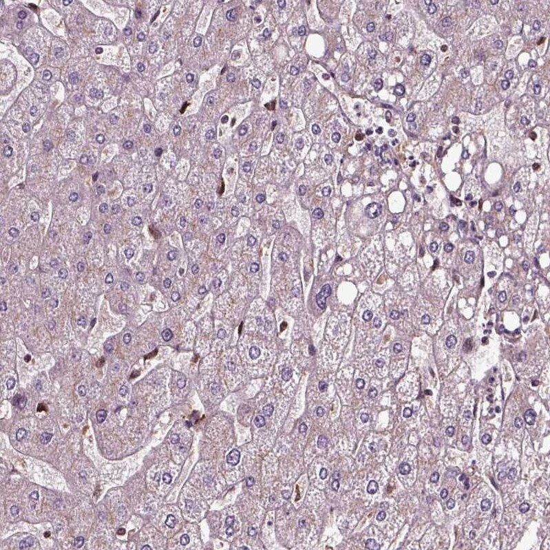
- Immunohistochemical analysis of FAM21A in human liver using FAM21A Polyclonal Antibody (Product # PA5-66355) shows very weak positivity in hepatocytes.
- Submitted by
- Invitrogen Antibodies (provider)
- Main image

- Experimental details
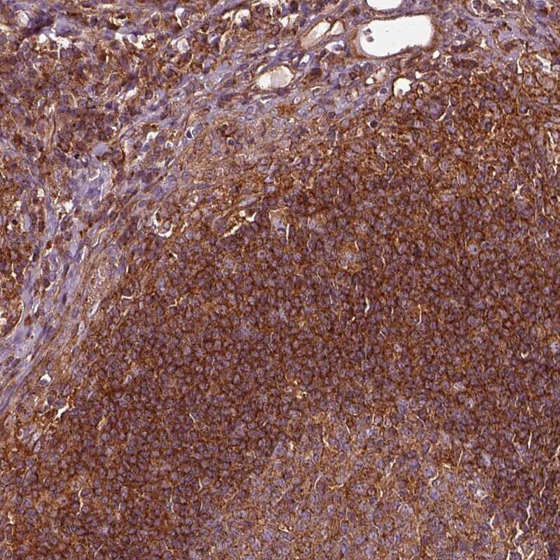
- Immunohistochemical analysis of FAM21A in human lymph node using FAM21A Polyclonal Antibody (Product # PA5-66355) shows strong cytoplasmic granular positivity in non-germinal center cells.
- Submitted by
- Invitrogen Antibodies (provider)
- Main image

- Experimental details
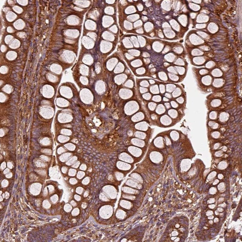
- Immunohistochemical staining of FAM21A in human small intestine using FAM21A Polyclonal Antibody (Product # PA5-66355) shows strong cytoplasmic positivity in glandular cells.