Antibody data
- Antibody Data
- Antigen structure
- References [0]
- Comments [0]
- Validations
- Western blot [2]
- Immunocytochemistry [1]
- Immunohistochemistry [1]
- Other assay [2]
Submit
Validation data
Reference
Comment
Report error
- Product number
- PA5-118314 - Provider product page

- Provider
- Invitrogen Antibodies
- Product name
- TMEM192 Polyclonal Antibody
- Antibody type
- Polyclonal
- Antigen
- Other
- Reactivity
- Human
- Host
- Rabbit
- Isotype
- IgG
- Vial size
- 100 µL
- Storage
- -20° C, Avoid Freeze/Thaw Cycles
No comments: Submit comment
Supportive validation
- Submitted by
- Invitrogen Antibodies (provider)
- Main image

- Experimental details
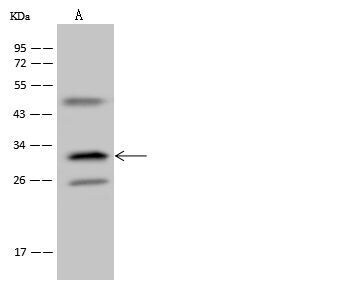
- Western Blot of TMEM192 in Lane A: U251MG Whole Cell Lysate. Samples (30 µg per lane) were incubated with polyclonal antibody (Product # PA5-118314) with a dilution of 1:500 , followed by Goat Anti-Rabbit IgG (H+L)/HRP using a dilution of 1:10,000. Assay was performed under reducing conditions. Predicted band size: 31 kDa, Observed band size: 31 kDa.
- Submitted by
- Invitrogen Antibodies (provider)
- Main image

- Experimental details
- Western Blot using TMEM192 Polyclonal Antibody (Product # PA5-118314) at 1:500 dilution. Lane A: U251MG Whole Cell Lysate. Lysates/proteins at 30 μg per lane. Secondary antibody: Goat Anti-Rabbit IgG (H+L)/HRP at 1:10,000 dilution. Developed using the ECL technique. Performed under reducing conditions. Predicted band size: 31 kDa. Observed band size: 31 kDa.
Supportive validation
- Submitted by
- Invitrogen Antibodies (provider)
- Main image

- Experimental details
- Immunofluorescence staining of TMEM192 in U2OS cells. Cells were fixed with 4% PFA, permeabilzed with 0.1% Triton X-100 in PBS, blocked with 10% serum, and incubated with TMEM192 Polyclonal Antibody (Product # PA5-118314, 1:100) at 4°C overnight. Then cells were stained with the Alexa Fluor®488-conjugated Goat Anti-rabbit IgG secondary antibody (green) and counterstained with DAPI (blue). Positive staining was localized to cytoplasm.
Supportive validation
- Submitted by
- Invitrogen Antibodies (provider)
- Main image

- Experimental details
- Immunohistochemical staining of human TMEM192 in human liver with TMEM192 Polyclonal Antibody (Product # PA5-118314, 1:100 dilution, formalin-fixed paraffin embedded sections).
Supportive validation
- Submitted by
- Invitrogen Antibodies (provider)
- Main image

- Experimental details
- Immunoprecipitation of TMEM192 in Lane A: 0.5 mg U251MG Whole Cell Lysate. Samples were treated with 60 μg of immunomagnetic Protein A/G beads, incubated with polyclonal antibody (Product # PA5-118314) with a dilution of 1:100 , followed by Goat Anti-Rabbit IgG (H+L)/HRP using a dilution of 1:10,000. Assay was performed under reducing conditions. Predicted band size: 31 kDa , Observed band size : 31 kDa .
- Submitted by
- Invitrogen Antibodies (provider)
- Main image

- Experimental details
- TMEM192 Immunoprecipitation using: Lane A: 0.5 mg U251MG Whole Cell Lysate 4 µL with TMEM192 Polyclonal Antibody (Product # PA5-118314) and 60 μg of Immunomagnetic beads Protein A/G. Primary antibody: TMEM192 Polyclonal Antibody, at 1:100 dilution. Secondary antibody: Goat Anti-Rabbit IgG (H+L) /HRP at 1:10,000 dilution. Developed using the ECL technique. Performed under reducing conditions. Predicted band size: 31 kDa. Observed band size: 31 kDa.