Antibody data
- Antibody Data
- Antigen structure
- References [0]
- Comments [0]
- Validations
- Immunohistochemistry [6]
Submit
Validation data
Reference
Comment
Report error
- Product number
- NBP1-93799 - Provider product page

- Provider
- Novus Biologicals
- Proper citation
- Novus Cat#NBP1-93799, RRID:AB_11035124
- Product name
- Rabbit Polyclonal TMEM192 Antibody
- Antibody type
- Polyclonal
- Description
- Immunogen affinity purified. Specificity of human TMEM192 antibody verified on a Protein Array containing target protein plus 383 other non-specific proteins.
- Reactivity
- Human
- Host
- Rabbit
- Isotype
- IgG
- Vial size
- 0.1 ml
- Storage
- Store at 4C short term. Aliquot and store at -20C long term. Avoid freeze-thaw cycles.
No comments: Submit comment
Supportive validation
- Submitted by
- Novus Biologicals (provider)
- Main image

- Experimental details
- Immunohistochemistry: TMEM192 Antibody [NBP1-93799] - Staining of human thyroid gland shows strong cytoplasmic positivity in glandular cells.
- Submitted by
- Novus Biologicals (provider)
- Main image

- Experimental details
- Immunohistochemistry-Paraffin: TMEM192 Antibody [NBP1-93799] - Staining of human cerebral cortex, kidney, liver and pancreas using Anti-TMEM192 antibody NBP1-93799 (A) shows similar protein distribution across tissues to independent antibody NBP1-93798 (B).
- Submitted by
- Novus Biologicals (provider)
- Main image

- Experimental details
- Immunohistochemistry-Paraffin: TMEM192 Antibody [NBP1-93799] - Staining of human liver shows moderate to strong granular cytoplasmic positivity in hepatocytes.
- Submitted by
- Novus Biologicals (provider)
- Main image

- Experimental details
- Immunohistochemistry-Paraffin: TMEM192 Antibody [NBP1-93799] - Staining of human cerebral cortex shows moderate to strong granular cytoplasmic positivity in neurons.
- Submitted by
- Novus Biologicals (provider)
- Main image

- Experimental details
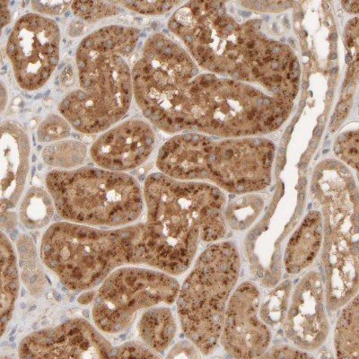
- Immunohistochemistry-Paraffin: TMEM192 Antibody [NBP1-93799] - Staining of human kidney shows moderate to strong granular cytoplasmic positivity in cells in tubules.
- Submitted by
- Novus Biologicals (provider)
- Main image

- Experimental details
- Immunohistochemistry-Paraffin: TMEM192 Antibody [NBP1-93799] - Staining of human pancreas shows moderate to strong granular cytoplasmic positivity in exocrine glandular cells.