Antibody data
- Antibody Data
- Antigen structure
- References [0]
- Comments [0]
- Validations
- Western blot [1]
- Immunocytochemistry [1]
- Immunohistochemistry [11]
- Flow cytometry [1]
Submit
Validation data
Reference
Comment
Report error
- Product number
- TA501832 - Provider product page

- Provider
- OriGene
- Proper citation
- OriGene Cat#TA501832, RRID:AB_11126418
- Product name
- GSTT2 (Glutathione S Transferase theta 2) mouse monoclonal antibody, clone OTI3B6 (formerly 3B6)
- Antibody type
- Monoclonal
- Description
- GSTT2 (Glutathione S Transferase theta 2) mouse monoclonal antibody, clone OTI3B6 (formerly 3B6)
- Host
- Mouse
- Conjugate
- Unconjugated
- Epitope
- GSTT2
- Isotype
- IgG
- Antibody clone number
- OTI3B6
- Vial size
- 100 µl
- Concentration
- 0.96 mg/ml
No comments: Submit comment
Supportive validation
- Submitted by
- OriGene (provider)
- Main image

- Experimental details
- HEK293T cells were transfected with the pCMV6-ENTRY control (Left lane) or pCMV6-ENTRY GSTT2 (RC200040, Right lane) cDNA for 48 hrs and lysed. Equivalent amounts of cell lysates (5 ug per lane) were separated by SDS-PAGE and immunoblotted with anti-GSTT2.
- Validation comment
- WB
Supportive validation
- Submitted by
- OriGene (provider)
- Main image

- Experimental details
- Anti-GSTT2 mouse monoclonal antibody (TA501832) immunofluorescent staining of COS7 cells transiently transfected by pCMV6-ENTRY GSTT2(RC200040).
- Validation comment
- IF
Supportive validation
- Submitted by
- OriGene (provider)
- Main image

- Experimental details
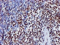
- Immunohistochemical staining of paraffin-embedded Human liver tissue within the normal limits using anti-GSTT2 mouse monoclonal antibody. (Heat-induced epitope retrieval by 10mM citric buffer, pH6.0, 100C for 10min, TA501832)
- Validation comment
- IHC
- Submitted by
- OriGene (provider)
- Main image

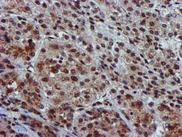
- Experimental details
- Immunohistochemical staining of paraffin-embedded Carcinoma of Human liver tissue using anti-GSTT2 mouse monoclonal antibody. (Heat-induced epitope retrieval by 10mM citric buffer, pH6.0, 100C for 10min, TA501832)
- Validation comment
- IHC
- Submitted by
- OriGene (provider)
- Main image

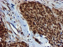
- Experimental details
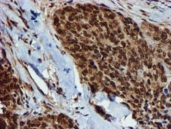
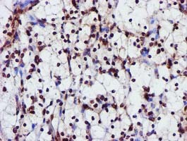
- Immunohistochemical staining of paraffin-embedded Adenocarcinoma of Human breast tissue using anti-GSTT2 mouse monoclonal antibody. (Heat-induced epitope retrieval by 10mM citric buffer, pH6.0, 100C for 10min, TA501832)
- Validation comment
- IHC
- Submitted by
- OriGene (provider)
- Main image

- Experimental details
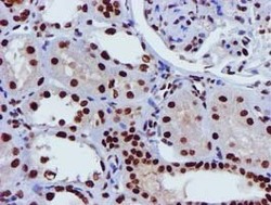
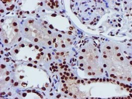
- Immunohistochemical staining of paraffin-embedded Human Kidney tissue within the normal limits using anti-GSTT2 mouse monoclonal antibody. (Heat-induced epitope retrieval by 10mM citric buffer, pH6.0, 100C for 10min, TA501832)
- Validation comment
- IHC
- Submitted by
- OriGene (provider)
- Main image

- Experimental details
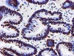
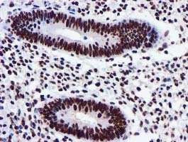
- Immunohistochemical staining of paraffin-embedded Adenocarcinoma of Human colon tissue using anti-GSTT2 mouse monoclonal antibody. (Heat-induced epitope retrieval by 10mM citric buffer, pH6.0, 100C for 10min, TA501832)
- Validation comment
- IHC
- Submitted by
- OriGene (provider)
- Main image

- Experimental details
- Immunohistochemical staining of paraffin-embedded Human endometrium tissue within the normal limits using anti-GSTT2 mouse monoclonal antibody. (Heat-induced epitope retrieval by 10mM citric buffer, pH6.0, 100C for 10min, TA501832)
- Validation comment
- IHC
- Submitted by
- OriGene (provider)
- Main image

- Experimental details
- Immunohistochemical staining of paraffin-embedded Human Ovary tissue within the normal limits using anti-GSTT2 mouse monoclonal antibody. (Heat-induced epitope retrieval by 10mM citric buffer, pH6.0, 100C for 10min, TA501832)
- Validation comment
- IHC
- Submitted by
- OriGene (provider)
- Main image

- Experimental details
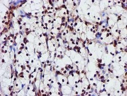
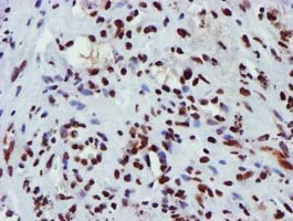
- Immunohistochemical staining of paraffin-embedded Carcinoma of Human kidney tissue using anti-GSTT2 mouse monoclonal antibody. (Heat-induced epitope retrieval by 10mM citric buffer, pH6.0, 100C for 10min, TA501832)
- Validation comment
- IHC
- Submitted by
- OriGene (provider)
- Main image

- Experimental details
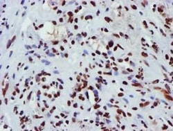
- Immunohistochemical staining of paraffin-embedded Carcinoma of Human lung tissue using anti-GSTT2 mouse monoclonal antibody. (Heat-induced epitope retrieval by 10mM citric buffer, pH6.0, 100C for 10min, TA501832)
- Validation comment
- IHC
- Submitted by
- OriGene (provider)
- Main image

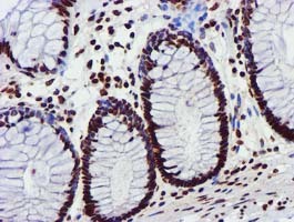
- Experimental details
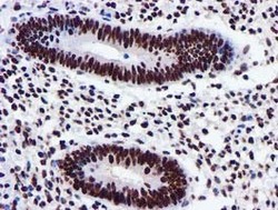
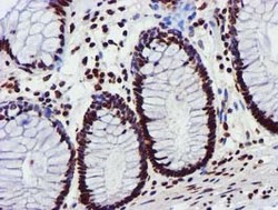
- Immunohistochemical staining of paraffin-embedded Human colon tissue within the normal limits using anti-GSTT2 mouse monoclonal antibody. (Heat-induced epitope retrieval by 10mM citric buffer, pH6.0, 100C for 10min, TA501832)
- Validation comment
- IHC
- Submitted by
- OriGene (provider)
- Main image

- Experimental details
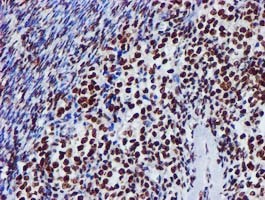
- Immunohistochemical staining of paraffin-embedded Human tonsil within the normal limits using anti-GSTT2 mouse monoclonal antibody. (Heat-induced epitope retrieval by 10mM citric buffer, pH6.0, 100C for 10min, TA501832)
- Validation comment
- IHC
Supportive validation
- Submitted by
- OriGene (provider)
- Main image

- Experimental details
- Flow cytometric Analysis of Jurkat cells, using anti-GSTT2 antibody(TA501832),(Red), compared to a nonspecific negative control antibody,(Blue).
- Validation comment
- FC