Antibody data
- Antibody Data
- Antigen structure
- References [0]
- Comments [0]
- Validations
- Western blot [1]
- Immunocytochemistry [1]
- Immunohistochemistry [2]
- Flow cytometry [2]
Submit
Validation data
Reference
Comment
Report error
- Product number
- TA501881 - Provider product page

- Provider
- OriGene
- Proper citation
- OriGene Cat#TA501881, RRID:AB_11126670
- Product name
- GSTT2 (Glutathione S Transferase theta 2) mouse monoclonal antibody, clone OTI9A1 (formerly 9A1)
- Antibody type
- Monoclonal
- Description
- GSTT2 (Glutathione S Transferase theta 2) mouse monoclonal antibody, clone OTI9A1 (formerly 9A1)
- Host
- Mouse
- Conjugate
- Unconjugated
- Epitope
- GSTT2
- Isotype
- IgG
- Antibody clone number
- OTI9A1
- Vial size
- 100 µl
- Concentration
- 0.9 mg/ml
No comments: Submit comment
Supportive validation
- Submitted by
- OriGene (provider)
- Main image

- Experimental details
- HEK293T cells were transfected with the pCMV6-ENTRY control (Left lane) or pCMV6-ENTRY GSTT2 (RC200040, Right lane) cDNA for 48 hrs and lysed. Equivalent amounts of cell lysates (5 ug per lane) were separated by SDS-PAGE and immunoblotted with anti-GSTT2.
- Validation comment
- WB
Supportive validation
- Submitted by
- OriGene (provider)
- Main image

- Experimental details
- Anti-GSTT2 mouse monoclonal antibody (TA501881) immunofluorescent staining of COS7 cells transiently transfected by pCMV6-ENTRY GSTT2(RC200040).
- Validation comment
- IF
Supportive validation
- Submitted by
- OriGene (provider)
- Main image

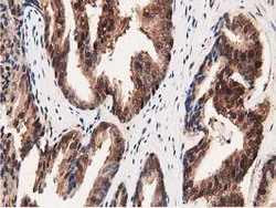
- Experimental details
- Immunohistochemical staining of paraffin-embedded Carcinoma of Human prostate tissue using anti-GSTT2 mouse monoclonal antibody. (Heat-induced epitope retrieval by 10mM citric buffer, pH6.0, 100C for 10min, TA501881)
- Validation comment
- IHC
- Submitted by
- OriGene (provider)
- Main image

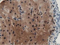
- Experimental details
- Immunohistochemical staining of paraffin-embedded Human Ovary tissue within the normal limits using anti-GSTT2 mouse monoclonal antibody. (Heat-induced epitope retrieval by 10mM citric buffer, pH6.0, 100C for 10min, TA501881)
- Validation comment
- IHC
Supportive validation
- Submitted by
- OriGene (provider)
- Main image

- Experimental details
- HEK293T cells transfected with either RC200040 overexpress plasmid(Red) or empty vector control plasmid(Blue) were immunostained by anti-GSTT2 antibody(TA501881), and then analyzed by flow cytometry.
- Validation comment
- FC
- Submitted by
- OriGene (provider)
- Main image

- Experimental details
- Flow cytometric Analysis of Jurkat cells, using anti-GSTT2 antibody(TA501881),(Red), compared to a nonspecific negative control antibody,(Blue).
- Validation comment
- FC