Antibody data
- Antibody Data
- Antigen structure
- References [0]
- Comments [0]
- Validations
- Immunohistochemistry [10]
Submit
Validation data
Reference
Comment
Report error
- Product number
- MA5-25270 - Provider product page

- Provider
- Invitrogen Antibodies
- Product name
- GSTT2 Monoclonal Antibody (OTI2E3)
- Antibody type
- Monoclonal
- Antigen
- Recombinant full-length protein
- Reactivity
- Human
- Host
- Mouse
- Isotype
- IgG
- Antibody clone number
- OTI2E3
- Vial size
- 100 μL
- Concentration
- 0.83 mg/mL
- Storage
- -20°C, Avoid Freeze/Thaw Cycles
No comments: Submit comment
Supportive validation
- Submitted by
- Invitrogen Antibodies (provider)
- Main image

- Experimental details
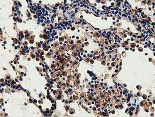
- Immunohistochemical analysis of GSTT2 in paraffin-embedded carcinoma of human lung tissue using a GSTT2 monoclonal antibody (Product # MA5-25270) at a dilution of 1:150.
- Submitted by
- Invitrogen Antibodies (provider)
- Main image

- Experimental details
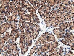
- Immunohistochemical analysis of GSTT2 in paraffin-embedded human pancreas tissue using a GSTT2 monoclonal antibody (Product # MA5-25270) at a dilution of 1:150.
- Submitted by
- Invitrogen Antibodies (provider)
- Main image

- Experimental details
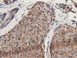
- Immunohistochemical analysis of GSTT2 in paraffin-embedded carcinoma of human pancreas tissue using a GSTT2 monoclonal antibody (Product # MA5-25270) at a dilution of 1:150.
- Submitted by
- Invitrogen Antibodies (provider)
- Main image

- Experimental details
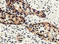
- Immunohistochemical analysis of GSTT2 in paraffin-embedded adenocarcinoma of human breast tissue using a GSTT2 monoclonal antibody (Product # MA5-25270) at a dilution of 1:150.
- Submitted by
- Invitrogen Antibodies (provider)
- Main image

- Experimental details
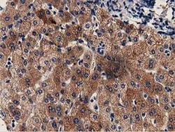
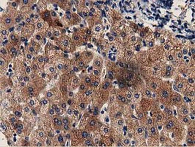
- Immunohistochemical analysis of GSTT2 in paraffin-embedded human liver tissue using a GSTT2 monoclonal antibody (Product # MA5-25270) at a dilution of 1:150.
- Submitted by
- Invitrogen Antibodies (provider)
- Main image

- Experimental details
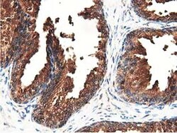
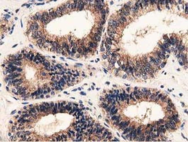
- Immunohistochemical analysis of GSTT2 in paraffin-embedded human prostate tissue using a GSTT2 monoclonal antibody (Product # MA5-25270) at a dilution of 1:150.
- Submitted by
- Invitrogen Antibodies (provider)
- Main image

- Experimental details
- Immunohistochemical analysis of GSTT2 in paraffin-embedded adenocarcinoma of human endometrium tissue using a GSTT2 monoclonal antibody (Product # MA5-25270) at a dilution of 1:150.
- Submitted by
- Invitrogen Antibodies (provider)
- Main image

- Experimental details
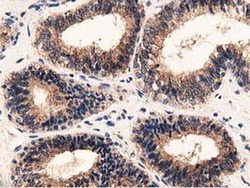
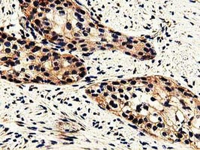
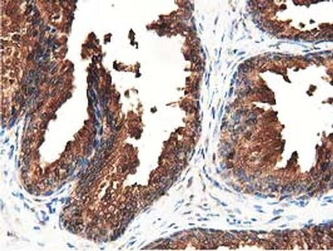
- Immunohistochemical analysis of GSTT2 in paraffin-embedded carcinoma of human prostate tissue using a GSTT2 monoclonal antibody (Product # MA5-25270) at a dilution of 1:150.
- Submitted by
- Invitrogen Antibodies (provider)
- Main image

- Experimental details
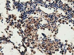
- Immunohistochemical analysis of GSTT2 in paraffin-embedded human lymph node tissue using a GSTT2 monoclonal antibody (Product # MA5-25270) at a dilution of 1:150.
- Submitted by
- Invitrogen Antibodies (provider)
- Main image

- Experimental details
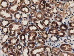
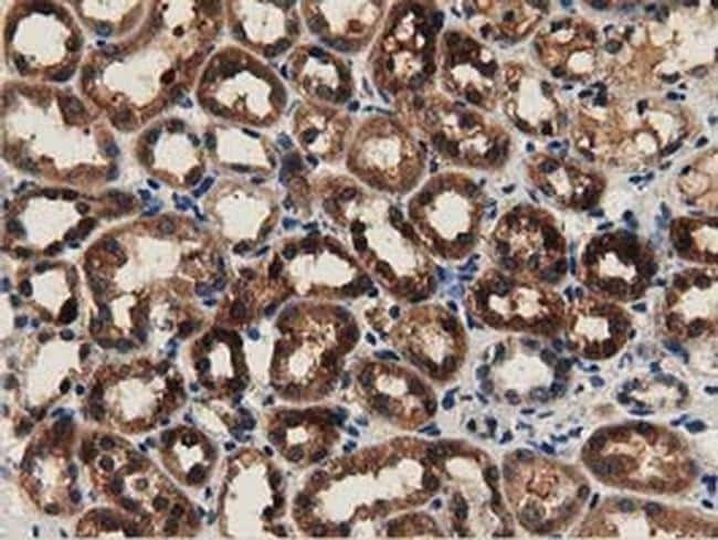
- Immunohistochemical analysis of GSTT2 in paraffin-embedded human kidney tissue using a GSTT2 monoclonal antibody (Product # MA5-25270) at a dilution of 1:150.