Antibody data
- Antibody Data
- Antigen structure
- References [0]
- Comments [0]
- Validations
- Western blot [1]
- Immunohistochemistry [10]
- Flow cytometry [1]
Submit
Validation data
Reference
Comment
Report error
- Product number
- NBP2-03126 - Provider product page

- Provider
- Novus Biologicals
- Product name
- Mouse Monoclonal GSTT2 Antibody
- Antibody type
- Monoclonal
- Description
- Affinity purified.
- Reactivity
- Human
- Host
- Mouse
- Isotype
- IgG
- Vial size
- 0.1 ml
- Concentration
- 0.96 mg/ml
- Storage
- Store at -20C. Avoid freeze-thaw cycles.
No comments: Submit comment
Supportive validation
- Submitted by
- Novus Biologicals (provider)
- Main image

- Experimental details
- Western Blot: GSTT2 Antibody (3B6) [NBP2-03126] - HEK293T cells were transfected with the pCMV6-ENTRY control (Left lane) or pCMV6-ENTRY GSTT2 (Right lane) cDNA for 48 hrs and lysed. Equivalent amounts of cell lysates (5 ug per lane) were separated by SDS-PAGE and immunoblotted with anti-GSTT2.
Supportive validation
- Submitted by
- Novus Biologicals (provider)
- Main image

- Experimental details
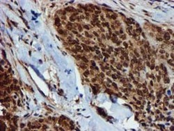
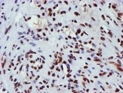
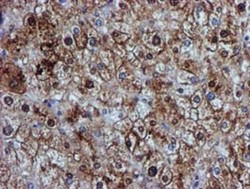
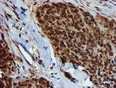
- Immunohistochemistry-Paraffin: GSTT2 Antibody (3B6) [NBP2-03126] - Staining of paraffin-embedded Adenocarcinoma of Human breast tissue using anti-GSTT2 mouse monoclonal antibody.
- Submitted by
- Novus Biologicals (provider)
- Main image

- Experimental details
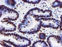
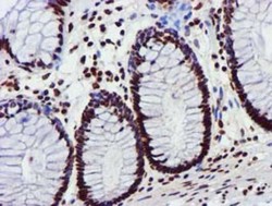
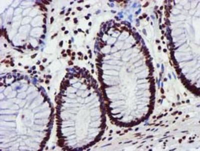
- Immunohistochemistry-Paraffin: GSTT2 Antibody (3B6) [NBP2-03126] - Staining of paraffin-embedded Adenocarcinoma of Human colon tissue using anti-GSTT2 mouse monoclonal antibody.
- Submitted by
- Novus Biologicals (provider)
- Main image

- Experimental details
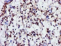
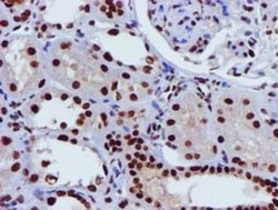
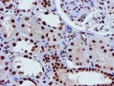
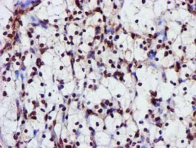
- Immunohistochemistry-Paraffin: GSTT2 Antibody (3B6) [NBP2-03126] - Staining of paraffin-embedded Carcinoma of Human kidney tissue using anti-GSTT2 mouse monoclonal antibody.
- Submitted by
- Novus Biologicals (provider)
- Main image

- Experimental details
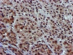
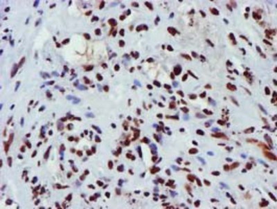
- Immunohistochemistry-Paraffin: GSTT2 Antibody (3B6) [NBP2-03126] - Staining of paraffin-embedded Carcinoma of Human liver tissue using anti-GSTT2 mouse monoclonal antibody.
- Submitted by
- Novus Biologicals (provider)
- Main image

- Experimental details
- Immunohistochemistry-Paraffin: GSTT2 Antibody (3B6) [NBP2-03126] - Staining of paraffin-embedded Carcinoma of Human lung tissue using anti-GSTT2 mouse monoclonal antibody.
- Submitted by
- Novus Biologicals (provider)
- Main image

- Experimental details
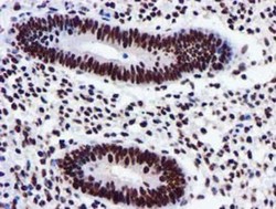
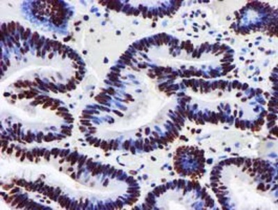
- Immunohistochemistry-Paraffin: GSTT2 Antibody (3B6) [NBP2-03126] - Staining of paraffin-embedded Human colon tissue using anti-GSTT2 mouse monoclonal antibody.
- Submitted by
- Novus Biologicals (provider)
- Main image

- Experimental details
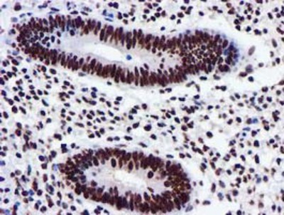
- Immunohistochemistry-Paraffin: GSTT2 Antibody (3B6) [NBP2-03126] - Staining of paraffin-embedded Human endometrium tissue using anti-GSTT2 mouse monoclonal antibody.
- Submitted by
- Novus Biologicals (provider)
- Main image

- Experimental details
- Immunohistochemistry-Paraffin: GSTT2 Antibody (3B6) [NBP2-03126] - Staining of paraffin-embedded Human Kidney tissue using anti-GSTT2 mouse monoclonal antibody.
- Submitted by
- Novus Biologicals (provider)
- Main image

- Experimental details
- Immunohistochemistry-Paraffin: GSTT2 Antibody (3B6) [NBP2-03126] - Staining of paraffin-embedded Human liver tissue using anti-GSTT2 mouse monoclonal antibody.
- Submitted by
- Novus Biologicals (provider)
- Main image

- Experimental details
- Immunohistochemistry-Paraffin: GSTT2 Antibody (3B6) [NBP2-03126] - Staining of paraffin-embedded Human tonsil using anti-GSTT2 mouse monoclonal antibody.
Supportive validation
- Submitted by
- Novus Biologicals (provider)
- Main image

- Experimental details
- Flow Cytometry: GSTT2 Antibody (3B6) [NBP2-03126] - Analysis of Jurkat cells, using anti-GSTT2 antibody, (Red), compared to a nonspecific negative control antibody (Blue).