Antibody data
- Antibody Data
 - Antigen structure
 - References [0]
 - Comments [0]
 - Validations
 - Immunocytochemistry [1]
 - Immunohistochemistry [5]
 
Submit
Validation data
Reference
Comment
Report error
- Product number
 - PA5-64383 - Provider product page

 - Provider
 - Invitrogen Antibodies
 - Product name
 - PHGR1 Polyclonal Antibody
 - Antibody type
 - Polyclonal
 - Antigen
 - Recombinant protein fragment
 - Description
 - Immunogen sequence: DPGKGHCHCG GHGHPPGHCG P Highest antigen sequence identity to the following orthologs: Mouse - 62%, Rat - 57%.
 - Reactivity
 - Human
 - Host
 - Rabbit
 - Isotype
 - IgG
 - Vial size
 - 100 μL
 - Concentration
 - 0.20 mg/mL
 - Storage
 - Store at 4°C short term. For long term storage, store at -20°C, avoiding freeze/thaw cycles.
 
				No comments: Submit comment	
	
			
							
					Supportive validation
					
									
				
				- Submitted by
 - Invitrogen Antibodies (provider)
 - Main image
 
- Experimental details
 - Immunofluorescent staining of PHGR1 in human cell line HaCaT using a PHGR1 Polyclonal Antibody (Product # PA5-64383) shows localization to vesicles.
 
							
					Supportive validation
					
									
				
		- Submitted by
 - Invitrogen Antibodies (provider)
 - Main image
 
- Experimental details
 - Immunohistochemical analysis of PHGR1 in human kidney using PHGR1 Polyclonal Antibody (Product # PA5-64383) shows no positivity in cells in tubules as expected.
 
- Submitted by
 - Invitrogen Antibodies (provider)
 - Main image
 
- Experimental details
 - Immunohistochemical analysis of PHGR1 in human lymph node using PHGR1 Polyclonal Antibody (Product # PA5-64383) shows no positivity in non-germinal center cells as expected.
 
- Submitted by
 - Invitrogen Antibodies (provider)
 - Main image
 
- Experimental details
 - Immunohistochemical staining of PHGR1 in human colon and liver tissues using PHGR1 Polyclonal Antibody (Product # PA5-64383). Corresponding PHGR1 RNA-seq data are presented for the same tissues.
 
- Submitted by
 - Invitrogen Antibodies (provider)
 - Main image
 
- Experimental details
 - Immunohistochemical staining of PHGR1 in human liver using PHGR1 Polyclonal Antibody (Product # PA5-64383) shows low expression as expected.
 
- Submitted by
 - Invitrogen Antibodies (provider)
 - Main image
 
- Experimental details
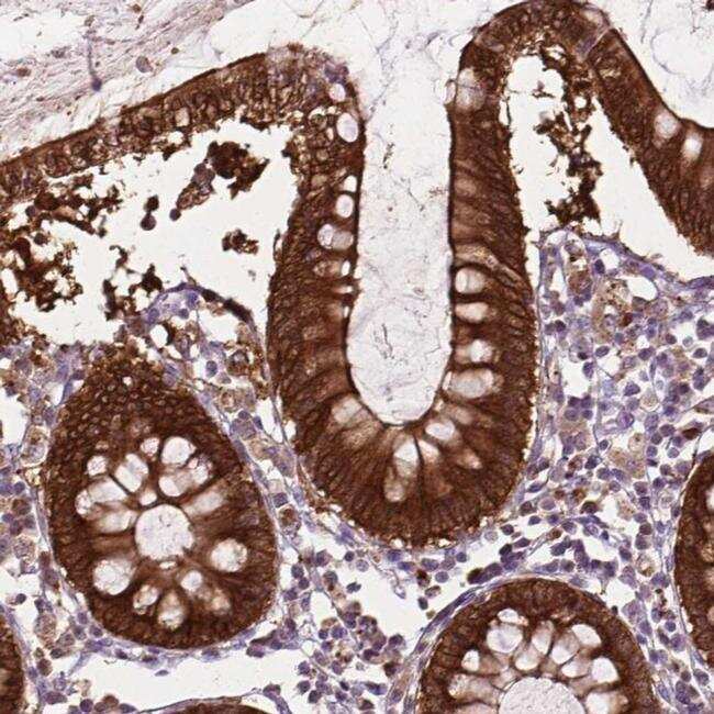
 - Immunohistochemical analysis of PHGR1 in human small intestine using PHGR1 Polyclonal Antibody (Product # PA5-64383) shows strong cytoplasmic positivity in glandular cells.