Antibody data
- Antibody Data
- Antigen structure
- References [0]
- Comments [0]
- Validations
- Immunocytochemistry [1]
- Immunohistochemistry [2]
Submit
Validation data
Reference
Comment
Report error
- Product number
- PA5-84820 - Provider product page

- Provider
- Invitrogen Antibodies
- Product name
- RP11-195F19.5 Polyclonal Antibody
- Antibody type
- Polyclonal
- Antigen
- Recombinant protein fragment
- Description
- Immunogen sequence: PLQETFGAQD MSGMRRYEVA LEAEEEIYWG CFYFFPWLRM WRRERSSAHP GEQKLEPLRG LMSCLSSGLG PTPQRSGRGF PRRSPTAAAQ PASALK
- Reactivity
- Human
- Host
- Rabbit
- Isotype
- IgG
- Vial size
- 100 μL
- Concentration
- 0.1 mg/mL
- Storage
- Store at 4°C short term. For long term storage, store at -20°C, avoiding freeze/thaw cycles.
No comments: Submit comment
Supportive validation
- Submitted by
- Invitrogen Antibodies (provider)
- Main image

- Experimental details
- Immunofluorecent analysis of RP11-195F19.5 in human cell line SH-SY5Y using RP11-195F19.5 Polyclonal Antibody (Product # PA5-84820). Staining shows localization to nucleoli, endoplasmic reticulum and vesicles.
Supportive validation
- Submitted by
- Invitrogen Antibodies (provider)
- Main image

- Experimental details
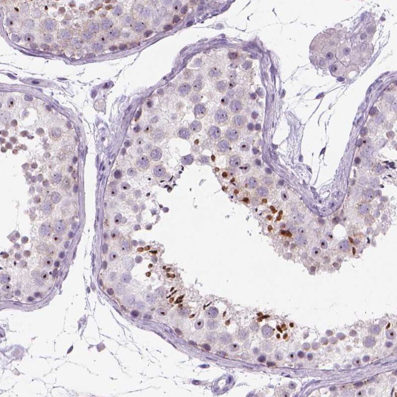
- Immunohistochemical analysis of RP11-195F19.5 in human testis using RP11-195F19.5 Polyclonal Antibody (Product # PA5-84820) shows high expression.
- Submitted by
- Invitrogen Antibodies (provider)
- Main image

- Experimental details
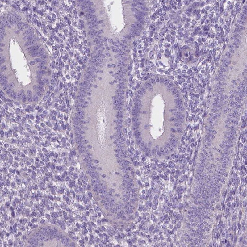
- Immunohistochemical analysis of RP11-195F19.5 in human endometrium using RP11-195F19.5 Polyclonal Antibody (Product # PA5-84820) shows low expression as expected.