Antibody data
- Antibody Data
- Antigen structure
- References [0]
- Comments [0]
- Validations
- Western blot [1]
- Immunohistochemistry [1]
Submit
Validation data
Reference
Comment
Report error
- Product number
- AP51757PU-N - Provider product page

- Provider
- OriGene
- Product name
- GAGE12D (N-term) rabbit polyclonal antibody, Aff - Purified
- Antibody type
- Polyclonal
- Description
- GAGE12D (N-term) rabbit polyclonal antibody, Aff - Purified
- Host
- Rabbit
- Conjugate
- Unconjugated
- Epitope
- GAGE12D
- Antibody clone number
- NULL
- Vial size
- 400 µl
- Concentration
- lot specific
No comments: Submit comment
Supportive validation
- Submitted by
- OriGene (provider)
- Main image

- Experimental details
- Western blot analysis of GAGE12B Antibody (N-term) ??in T47D cell line lysates (35ug/lane). This demonstrates the GAGE12B antibody detected the GAGE12B protein (arrow).
- Validation comment
- WB
Supportive validation
- Submitted by
- OriGene (provider)
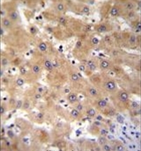
- Main image

- Experimental details
- Immunohistochemistry analysis in formalin fixed and paraffin embedded human liver tissue reacted with GAGE12B Antibody (N-term) ??followed by peroxidase conjugation of the secondary antibody and DAB staining.
- Validation comment
- IHC