Antibody data
- Antibody Data
- Antigen structure
- References [0]
- Comments [0]
- Validations
- Immunocytochemistry [1]
- Immunohistochemistry [3]
Submit
Validation data
Reference
Comment
Report error
- Product number
- PA5-66968 - Provider product page

- Provider
- Invitrogen Antibodies
- Product name
- STMND1 Polyclonal Antibody
- Antibody type
- Polyclonal
- Antigen
- Recombinant protein fragment
- Description
- Immunogen sequence: AEVAFAKGLQR VRSAGFEPSD LQGGKPLKRK KSKCDATLID RNESDESFGV VESDMSYNQA Highest antigen sequence identity to the following orthologs - mouse 51%, rat 49%.
- Reactivity
- Human
- Host
- Rabbit
- Isotype
- IgG
- Vial size
- 100 μL
- Concentration
- 0.2 mg/mL
- Storage
- Store at 4°C short term. For long term storage, store at -20°C, avoiding freeze/thaw cycles.
No comments: Submit comment
Supportive validation
- Submitted by
- Invitrogen Antibodies (provider)
- Main image

- Experimental details
- Immunofluorescent staining of STMND1 in human cell line HEK 293 shows localization to actin filaments. Samples were probed using a STMND1 Polyclonal Antibody (Product # PA5-66968).
Supportive validation
- Submitted by
- Invitrogen Antibodies (provider)
- Main image

- Experimental details
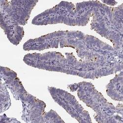
- Immunohistochemical staining of STMND1 in human fallopian tube using STMND1 Polyclonal Antibody (Product # PA5-66968) shows high expression.
- Submitted by
- Invitrogen Antibodies (provider)
- Main image

- Experimental details
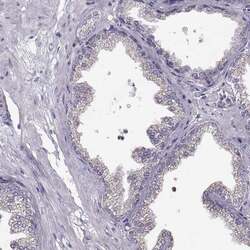
- Immunohistochemical staining of STMND1 in human prostate using STMND1 Polyclonal Antibody (Product # PA5-66968) shows low expression as expected.
- Submitted by
- Invitrogen Antibodies (provider)
- Main image

- Experimental details
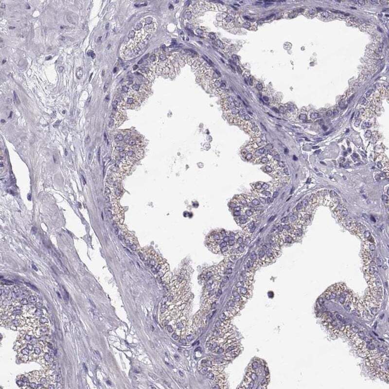
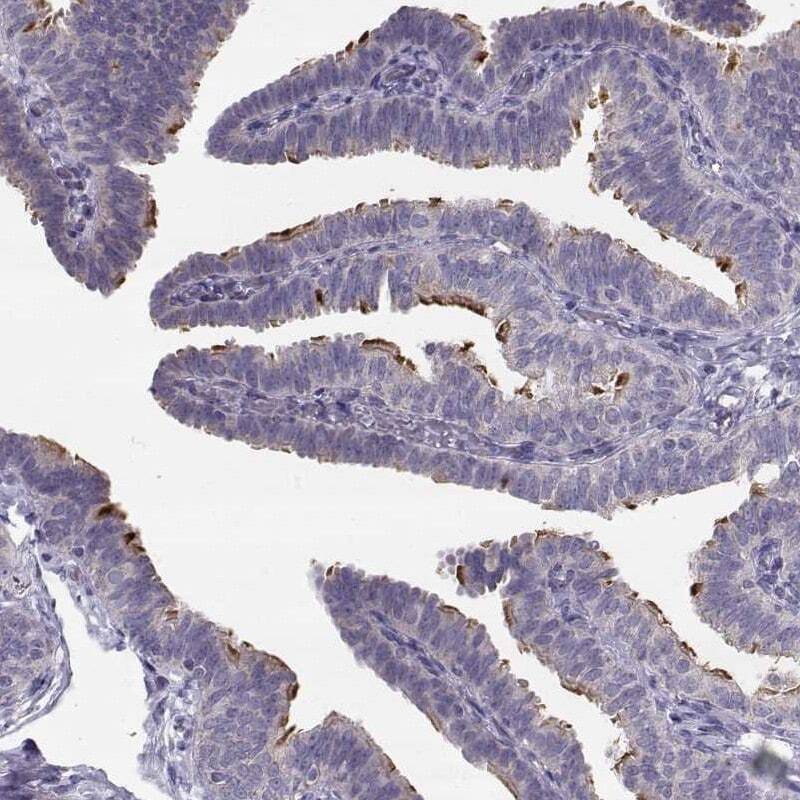
- Immunohistochemical staining of STMND1 in human fallopian tube and prostate tissues using STMND1 Polyclonal Antibody (Product # PA5-66968). Corresponding STMND1 RNA-seq data are presented for the same tissues.