Antibody data
- Antibody Data
 - Antigen structure
 - References [0]
 - Comments [0]
 - Validations
 - Western blot [1]
 - Immunohistochemistry [1]
 
Submit
Validation data
Reference
Comment
Report error
- Product number
 - ARG63193 - Provider product page

 - Provider
 - Arigo
 - Product name
 - anti-COX1 / PTGS1 antibody
 - Antibody type
 - Polyclonal
 - Antigen
 - C-QDDGPAVERPSTEL
 - Description
 - Purified from goat serum by ammonium sulphate precipitation followed by antigen affinity chromatography using the immunizing peptide.
 - Reactivity
 - Human
 - Host
 - Goat
 - Isotype
 - IgG
 - Vial size
 - 100 µg
 - Concentration
 - 0.5 mg/ml
 - Storage
 - Aliquot and store at -20°C. Storage in frost free freezers is not recommended. Avoid repeated freeze/thaw cycles. The antibody solution should be gently mixed before use.
 - Handling
 - The antibody solution should be gently mixed before use.
 
				No comments: Submit comment	
	
			
							
					Supportive validation
					
									
				
				- Submitted by
 - Arigo (provider)
 - Main image
 
- Experimental details
 - Western Blot: HeLa lysate (RIPA buffer, 30µg total protein per lane) stained with ARG63193 anti-COX1 / PTGS1 antibody at 1 µg/ml dilution.
 
							
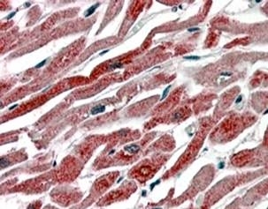
					Supportive validation
					
									
				
		- Submitted by
 - Arigo (provider)
 - Main image
 
- Experimental details
 - Immunohistochemistry: paraffin embedded Human Heart. (Steamed antigen retrieval with citrate buffer pH 6) stained with ARG63193 anti-COX1 / PTGS1 antibody at 3.8 µg/ml dilution followed by AP-staining.