Antibody data
- Antibody Data
- Antigen structure
- References [0]
- Comments [0]
- Validations
- Immunohistochemistry [5]
Submit
Validation data
Reference
Comment
Report error
- Product number
- PA5-67209 - Provider product page

- Provider
- Invitrogen Antibodies
- Product name
- SMIM17 Polyclonal Antibody
- Antibody type
- Polyclonal
- Antigen
- Recombinant protein fragment
- Description
- Immunogen sequence: MQSLRPEQTRG LLEPERTKTL LPRESRAWEK PPHPACTKDW EAVEVGASS Highest antigen sequence identity to the following orthologs - mouse 66%, rat 64%.
- Reactivity
- Human
- Host
- Rabbit
- Isotype
- IgG
- Vial size
- 100 μL
- Concentration
- 0.1 mg/mL
- Storage
- Store at 4°C short term. For long term storage, store at -20°C, avoiding freeze/thaw cycles.
No comments: Submit comment
Supportive validation
- Submitted by
- Invitrogen Antibodies (provider)
- Main image

- Experimental details
- Immunohistochemical staining of SMIM17 in human cerebral cortex using SMIM17 Polyclonal Antibody (Product # PA5-67209) shows high expression.
- Submitted by
- Invitrogen Antibodies (provider)
- Main image

- Experimental details
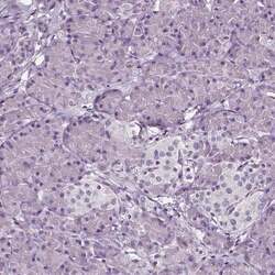
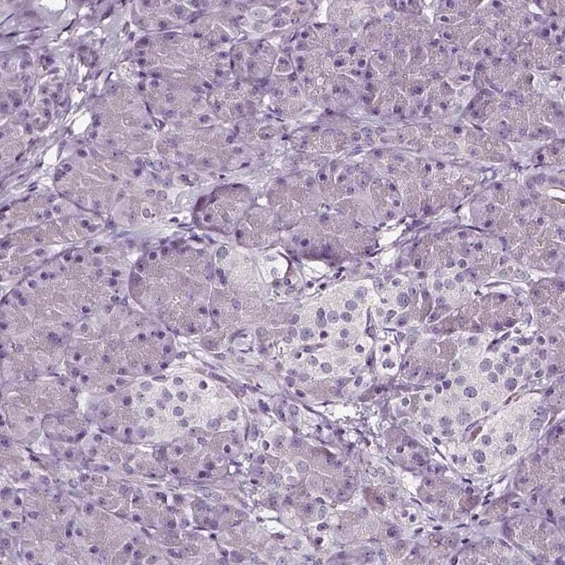
- Immunohistochemical staining of SMIM17 in human pancreas using SMIM17 Polyclonal Antibody (Product # PA5-67209) shows low expression as expected.
- Submitted by
- Invitrogen Antibodies (provider)
- Main image

- Experimental details
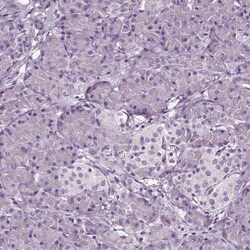
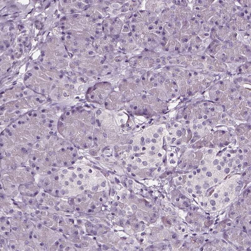
- Immunohistochemical staining of SMIM17 in human pancreas using SMIM17 Polyclonal Antibody (Product # PA5-67209) shows low expression as expected.
- Submitted by
- Invitrogen Antibodies (provider)
- Main image

- Experimental details
- Immunohistochemical staining of SMIM17 in human cerebral cortex shows moderate positivity in neropil. Samples were probed using a SMIM17 Polyclonal Antibody (Product # PA5-67209).
- Submitted by
- Invitrogen Antibodies (provider)
- Main image

- Experimental details
- Immunohistochemical staining of SMIM17 in human cerebral cortex using SMIM17 Polyclonal Antibody (Product # PA5-67209) shows high expression.