Antibody data
- Antibody Data
- Antigen structure
- References [0]
- Comments [0]
- Validations
- Immunocytochemistry [2]
- Immunohistochemistry [6]
Submit
Validation data
Reference
Comment
Report error
- Product number
- PA5-54680 - Provider product page

- Provider
- Invitrogen Antibodies
- Product name
- ZNF521 Polyclonal Antibody
- Antibody type
- Polyclonal
- Antigen
- Recombinant protein fragment
- Description
- Immunogen sequence: KQDLVKLDIN GLPYGLCAGC VNLSKSASPG INVPPGTNRP GLGQNENLSA IEGKGKVGGL KTRCSSCNVK FESE Highest antigen sequence identity to the following orthologs: Mouse - 88%, Rat - 85%.
- Reactivity
- Human
- Host
- Rabbit
- Isotype
- IgG
- Vial size
- 100 μL
- Concentration
- 0.1 mg/mL
- Storage
- Store at 4°C short term. For long term storage, store at -20°C, avoiding freeze/thaw cycles.
No comments: Submit comment
Supportive validation
- Submitted by
- Invitrogen Antibodies (provider)
- Main image

- Experimental details
- Immunofluorescent staining of ZNF521 in human cell line U-251 MG shows positivity in nucleus but excluded from the nucleoli. Samples were probed using a ZNF521 Polyclonal Antibody (Product # PA5-54680).
- Submitted by
- Invitrogen Antibodies (provider)
- Main image

- Experimental details
- Immunofluorecent analysis of ZNF521 in human cell line U-251 MG using ZNF521 Polyclonal Antibody (Product # PA5-54680). Staining shows localization to nucleoplasm.
Supportive validation
- Submitted by
- Invitrogen Antibodies (provider)
- Main image

- Experimental details
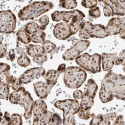
- Immunohistochemical staining of ZNF521 in human placenta using a ZNF521 Polyclonal Antibody (Product # PA5-54680) shows nuclear and cytoplasmic positivity in trophoblastic cells.
- Submitted by
- Invitrogen Antibodies (provider)
- Main image

- Experimental details
- Immunohistochemical staining of ZNF521 in human placenta using ZNF521 Polyclonal Antibody (Product # PA5-54680) shows strong nuclear positivity in trophoblastic cells.
- Submitted by
- Invitrogen Antibodies (provider)
- Main image

- Experimental details
- Immunohistochemical staining of ZNF521 in human endometrium using ZNF521 Polyclonal Antibody (Product # PA5-54680) shows moderate nuclear positivity in glandular cells.
- Submitted by
- Invitrogen Antibodies (provider)
- Main image

- Experimental details
- Immunohistochemical staining of ZNF521 in human colon using ZNF521 Polyclonal Antibody (Product # PA5-54680).
- Submitted by
- Invitrogen Antibodies (provider)
- Main image

- Experimental details
- Immunohistochemical staining of ZNF521 in human cerebral cortex using ZNF521 Polyclonal Antibody (Product # PA5-54680) shows moderate nuclear positivity in neurons, and strong nuclear immunoreactivity in glial cells.
- Submitted by
- Invitrogen Antibodies (provider)
- Main image

- Experimental details
- Immunohistochemical staining of ZNF521 in human liver using ZNF521 Polyclonal Antibody (Product # PA5-54680) shows no positivity in hepatocytes as expected.