13409-1-AP
antibody from Invitrogen Antibodies
Targeting: OCLN
PPP1R115
Antibody data
- Antibody Data
- Antigen structure
- References [0]
- Comments [0]
- Validations
- Western blot [7]
- Immunocytochemistry [1]
- Immunohistochemistry [4]
- Flow cytometry [1]
- Other assay [1]
Submit
Validation data
Reference
Comment
Report error
- Product number
- 13409-1-AP - Provider product page

- Provider
- Invitrogen Antibodies
- Product name
- Occludin Polyclonal Antibody
- Antibody type
- Polyclonal
- Antigen
- Other
- Reactivity
- Human, Mouse, Rat
- Host
- Rabbit
- Isotype
- IgG
- Vial size
- 150 µL
- Concentration
- 0.27 mg/mL
- Storage
- -20°C
No comments: Submit comment
Supportive validation
- Submitted by
- Invitrogen Antibodies (provider)
- Main image

- Experimental details
- Various lysates were subjected to SDS PAGE followed by western blot with 13409-1-AP (Occludin antibody) at dilution of 1:1500 incubated at room temperature for 1.5 hours.
- Submitted by
- Invitrogen Antibodies (provider)
- Main image

- Experimental details
- Mouse kidney tissue were subjected to SDS PAGE followed by western blot with 13409-1-AP ( Occludin Antibody) at dilution of 1:600 incubated at room temperature for 1.5 hours.
- Submitted by
- Invitrogen Antibodies (provider)
- Main image

- Experimental details
- Human liver tissue were subjected to SDS PAGE followed by western blot with 13409-1-AP (OCLN antibody) at dilution of 1:600 incubated at room temperature for 1.5 hours.
- Submitted by
- Invitrogen Antibodies (provider)
- Main image

- Experimental details
- Jurkat cells were subjected to SDS PAGE followed by western blot with 13409-1-AP (Occludin Antibody) at dilution of 1:600 incubated at room temperature for 1.5 hours.
- Submitted by
- Invitrogen Antibodies (provider)
- Main image

- Experimental details
- Mouse liver tissue were subjected to SDS PAGE followed by western blot with 13409-1-AP (Occludin Antibody) at dilution of 1:600 incubated at room temperature for 1.5 hours.
- Submitted by
- Invitrogen Antibodies (provider)
- Main image

- Experimental details
- Mouse liver tissue were subjected to SDS PAGE followed by western blot with 13409-1-AP (Occludin Antibody) at dilution of 1:2000 incubated at room temperature for 1.5 hours.
- Submitted by
- Invitrogen Antibodies (provider)
- Main image

- Experimental details
- Mouse liver tissue were subjected to SDS PAGE followed by western blot with 13409-1-AP (Occludin Antibody) at dilution of 1:2000 incubated at room temperature for 1.5 hours.
Supportive validation
- Submitted by
- Invitrogen Antibodies (provider)
- Main image

- Experimental details
- Immunofluorescent analysis of A431 cells using 13409-1-AP (Occludin antibody) at dilution of 1:25 and Alexa Fluor 488-conjugated AffiniPure Goat Anti-Rabbit IGG (H+L).
Supportive validation
- Submitted by
- Invitrogen Antibodies (provider)
- Main image

- Experimental details
- Immunohistochemistry of paraffin-embedded human breast cancer tissue slide using 13409-1-AP (Occludin Antibody) at dilution of 1:800 (under 10x lens). heat mediated antigen retrieved with Tris-EDTA buffer (pH 9).
- Submitted by
- Invitrogen Antibodies (provider)
- Main image

- Experimental details
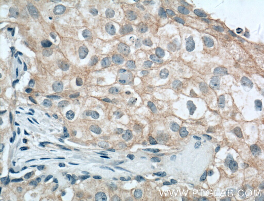
- Immunohistochemistry of paraffin-embedded human breast cancer tissue slide using 13409-1-AP (Occludin Antibody) at dilution of 1:800 (under 40x lens). heat mediated antigen retrieved with Tris-EDTA buffer (pH 9).
- Submitted by
- Invitrogen Antibodies (provider)
- Main image

- Experimental details
- Immunohistochemistry of paraffin-embedded human breast cancer tissue slide using 13409-1-AP ( Occludin Antibody) at dilution of 1:800 (under 10x lens). heat mediated antigen retrieved with Tris-EDTA buffer (pH 9).
- Submitted by
- Invitrogen Antibodies (provider)
- Main image

- Experimental details
- Immunohistochemistry of paraffin-embedded human breast cancer tissue slide using 13409-1-AP ( Occludin Antibody) at dilution of 1:800 (under 40x lens). heat mediated antigen retrieved with Tris-EDTA buffer (pH 9).
Supportive validation
- Submitted by
- Invitrogen Antibodies (provider)
- Main image

- Experimental details
- 1X10^6 A431 cells were stained with 0.2 µg Anti-Human Occludin (Product # 13409-1-AP) and CoraLite®488-Conjugated AffiniPure Goat Anti-Rabbit IgG(H+L) at dilution 1:1,000 (green), or stained with 0.2 µg isotype control antibody and CoraLite®488-Conjugated AffiniPure Goat Anti-Rabbit IgG(H+L) at dilution 1:1,000 (black). Cells were fixed with 90% MeOH.
Supportive validation
- Submitted by
- Invitrogen Antibodies (provider)
- Main image

- Experimental details
- IP result of anti-Occludin (IP:13409-1-AP, 3ug; Detection:13409-1-AP 1:500) with mouse liver tissue lysate 6400ug.