Antibody data
- Antibody Data
- Antigen structure
- References [0]
- Comments [0]
- Validations
- Immunohistochemistry [3]
Submit
Validation data
Reference
Comment
Report error
- Product number
- NBP2-58395 - Provider product page

- Provider
- Novus Biologicals
- Product name
- Rabbit Polyclonal C2orf81 Antibody
- Antibody type
- Polyclonal
- Description
- Affinity purified. Specificity of human C2orf81 antibody verified on a Protein Array containing target protein plus 383 other non-specific proteins.
- Reactivity
- Human
- Host
- Rabbit
- Isotype
- IgG
- Vial size
- 100 ul
- Storage
- Store at 4C short term. Aliquot and store at -20C long term. Avoid freeze-thaw cycles.
No comments: Submit comment
Supportive validation
- Submitted by
- Novus Biologicals (provider)
- Main image

- Experimental details
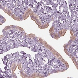
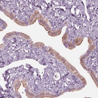
- Immunohistochemistry-Paraffin: C2orf81 Antibody [NBP2-58395] - Staining of human fallopian tube shows high expression.
- Submitted by
- Novus Biologicals (provider)
- Main image

- Experimental details
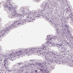
- Immunohistochemistry-Paraffin: C2orf81 Antibody [NBP2-58395] - Staining of human prostate shows low expression as expected.
- Submitted by
- Novus Biologicals (provider)
- Main image

- Experimental details
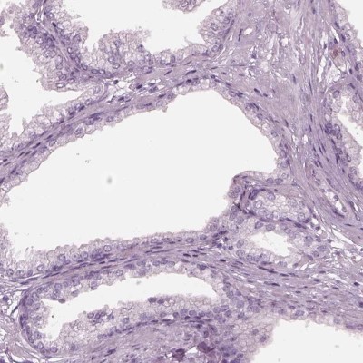
- Immunohistochemistry-Paraffin: C2orf81 Antibody [NBP2-58395] - Staining in human fallopian tube and prostate tissues using anti-C2orf81 antibody. Corresponding C2orf81 RNA-seq data are presented for the same tissues.