Antibody data
- Antibody Data
- Antigen structure
- References [0]
- Comments [0]
- Validations
- Immunocytochemistry [1]
- Immunohistochemistry [1]
Submit
Validation data
Reference
Comment
Report error
- Product number
- PA5-64173 - Provider product page

- Provider
- Invitrogen Antibodies
- Product name
- Anti-ARHGAP11B Polyclonal Antibody
- Antibody type
- Polyclonal
- Antigen
- Recombinant full-length protein
- Description
- Immunogen sequence: MGTLPARRHI PPWVKVPEDL KDPEVFQVQT RLLKAIFGPD GSRIPYIEQV S Highest antigen sequence identity to the following orthologs: Mouse - 73%, Rat - 75%.
- Reactivity
- Human
- Host
- Rabbit
- Isotype
- IgG
- Vial size
- 100 µl
- Concentration
- Lot Dependent
- Storage
- Store at 4°C short term. For long term storage, store at -20°C, avoiding freeze/thaw cycles.
No comments: Submit comment
Supportive validation
- Submitted by
- Invitrogen Antibodies (provider)
- Main image

- Experimental details
- Immunofluorescent staining of ARHGAP11B in human cell line RH-30 using an ARHGAP11B Polyclonal Antibody (Product # PA5-64173) shows localization to vesicles.
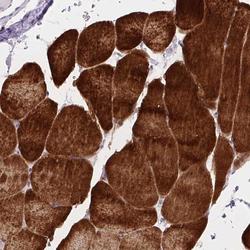
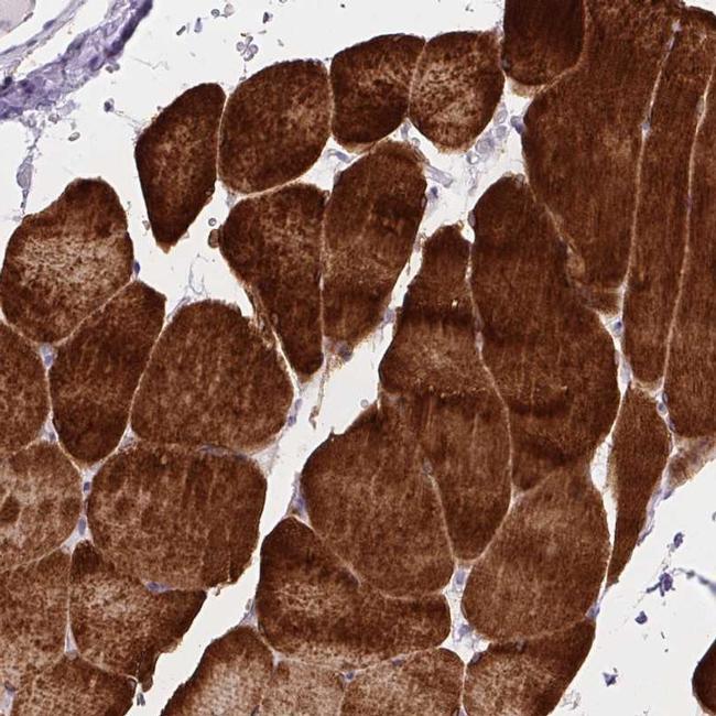
Supportive validation
- Submitted by
- Invitrogen Antibodies (provider)
- Main image

- Experimental details
- Immunohistochemical staining of ARHGAP11B in human skeletal muscle shows strong cytoplasmic positivity in myocytes. Samples were probed using an ARHGAP11B Polyclonal Antibody (Product # PA5-64173).