Antibody data
- Antibody Data
- Antigen structure
- References [0]
- Comments [0]
- Validations
- Western blot [3]
- Immunohistochemistry [1]
Submit
Validation data
Reference
Comment
Report error
- Product number
- AP3115a - Provider product page

- Provider
- Abcepta
- Proper citation
- Abgent Cat#AP3115a, RRID:AB_2118296
- Product name
- Phospho-HIST1H3B3(S10) Antibody
- Antibody type
- Polyclonal
- Antigen
- Synthetic peptide
- Description
- Peptide Affinity Purified Rabbit Polyclonal Antibody (Pab)
- Reactivity
- Human
- Host
- Rabbit
- Isotype
- IgG
- Vial size
- 400 µl
- Storage
- Maintain refrigerated at 2-8°C for up to 6 months. For long term storage store at -20°C in small aliquots to prevent freeze-thaw cycles.
No comments: Submit comment
Supportive validation
- Submitted by
- Abcepta (provider)
- Main image

- Experimental details
- Dot blot analysis of anti-Phospho-HIST1H3B3-S10 Phospho-specific Pab (Cat. #AP3115a) on nitrocellulose membrane. 50ng of Phospho-peptide or Non Phospho-peptide per dot were adsorbed. Antibody working concentrations are 0.5ug per ml.
- Primary Ab dilution
- 1:500
- Submitted by
- Abcepta (provider)
- Main image

- Experimental details
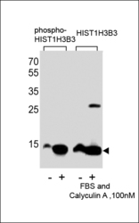
- "Western blot analysis of extracts from Hela cells,untreated or treated with FBS and Calyculin A ,100nM, using phospho-HIST1H3B3-S10(left) or HIST1H3B3 antibody(right)"
- Primary Ab dilution
- 1:4000
- Submitted by
- Abcepta (provider)
- Main image

- Experimental details
- "Western blot analysis of extracts from Hela cells,untreated or treated with FBS and Calyculin A,100nM, using phospho-H3-Ps10(left) or H3 antibody(right)"
- Primary Ab dilution
- 1:2000
Supportive validation
- Submitted by
- Abcepta (provider)
- Main image

- Experimental details
- "Formalin-fixed and paraffin-embedded human cancer tissue reacted with the primary antibody, which was peroxidase-conjugated to the secondary antibody, followed by AEC staining. This data demonstrates the use of this antibody for immunohistochemistry; clinical relevance has not been evaluated. BC = breast carcinoma; HC = hepatocarcinoma."
- Primary Ab dilution
- 1:50~100