Antibody data
- Antibody Data
- Antigen structure
- References [3]
- Comments [0]
- Validations
- Western blot [1]
- Immunohistochemistry [1]
Submit
Validation data
Reference
Comment
Report error
- Product number
- PAB0482 - Provider product page

- Provider
- Abnova Corporation
- Proper citation
- Abnova Corporation Cat#PAB0482, RRID:AB_983035
- Product name
- HIST1H3B (phospho S10) polyclonal antibody
- Antibody type
- Polyclonal
- Antigen
- Synthetic phosphopeptide (conjugated with KLH) corresponding to residues surrounding S10 of human HIST1H3B.
- Reactivity
- Human
- Host
- Rabbit
- Vial size
- 400 μl
- Storage
- Store at 4°C. For long term storage store at -20°C.Aliquot to avoid repeated freezing and thawing.
Submitted references Regulation of HIV-1 gene expression by histone acetylation and factor recruitment at the LTR promoter.
Enhancement of the p300 HAT activity by HIV-1 Tat on chromatin DNA.
Acetylation of HIV-1 Tat by CBP/P300 increases transcription of integrated HIV-1 genome and enhances binding to core histones.
Lusic M, Marcello A, Cereseto A, Giacca M
The EMBO journal 2003 Dec 15;22(24):6550-61
The EMBO journal 2003 Dec 15;22(24):6550-61
Enhancement of the p300 HAT activity by HIV-1 Tat on chromatin DNA.
Deng L, Wang D, de la Fuente C, Wang L, Li H, Lee CG, Donnelly R, Wade JD, Lambert P, Kashanchi F
Virology 2001 Oct 25;289(2):312-26
Virology 2001 Oct 25;289(2):312-26
Acetylation of HIV-1 Tat by CBP/P300 increases transcription of integrated HIV-1 genome and enhances binding to core histones.
Deng L, de la Fuente C, Fu P, Wang L, Donnelly R, Wade JD, Lambert P, Li H, Lee CG, Kashanchi F
Virology 2000 Nov 25;277(2):278-95
Virology 2000 Nov 25;277(2):278-95
No comments: Submit comment
Supportive validation
- Submitted by
- Abnova Corporation (provider)
- Main image

- Experimental details
- Western blot analysis of HIST1H3B (phospho S10) polyclonal antibody (Cat # PAB0482) in HepG2 cell lysate (35 ug/lane).Phospho-HIST1H3B-pS10 (arrow) was detected using the purified polyclonal antibody.
Supportive validation
- Submitted by
- Abnova Corporation (provider)
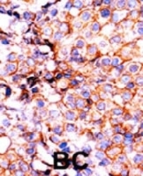
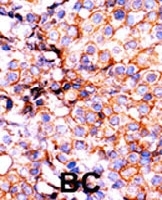
- Main image

- Experimental details
- Formalin-fixed and paraffin-embedded human cancer tissue reacted with HIST1H3B (phospho S10) polyclonal antibody (Cat # PAB0482) which was peroxidase-conjugated to the secondary antibody followed by AEC staining. This data demonstrates the use of this antibody for immunohistochemistry; clinical relevance has not been evaluated. BC = breast carcinoma.
- Validation comment
- Immunohistochemistry (Formalin/PFA-fixed paraffin-embedded sections)