Antibody data
- Antibody Data
- Antigen structure
- References [0]
- Comments [0]
- Validations
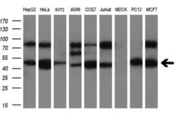
- Western blot [1]
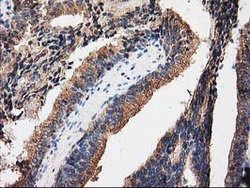
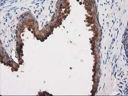
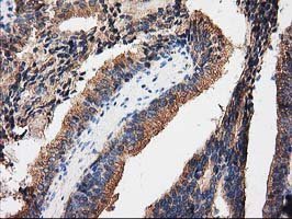
- Immunohistochemistry [2]
- Flow cytometry [2]
Submit
Validation data
Reference
Comment
Report error
- Product number
- ABIN2667909 - Provider product page

- Provider
- antibodies-online
- Product name
- anti-Histone H3.1 (HIST1H3B) antibody
- Antibody type
- Monoclonal
- Description
- Protein G Chromatography
- Reactivity
- Human, Other
- Host
- Rat
- Isotype
- IgG
- Antibody clone number
- 5D10D4
- Vial size
- 10 μg
- Storage
- Antibodies in solution can be stored at -20°C for 2 years.
- Handling
- Avoid repeated freeze/thaw cycles and keep on ice when not in storage. This product is guaranteed for 6 months from date of receipt.
No comments: Submit comment
Supportive validation
- Submitted by
- antibodies-online (provider)
- Main image

- Experimental details
- Image(s): Western Blotting
Supportive validation
- Submitted by
- antibodies-online (provider)
- Main image

- Experimental details
- Image(s): Immunohistochemistry
- Submitted by
- antibodies-online (provider)
- Main image

- Experimental details
- Image(s): Immunohistochemistry
Supportive validation
- Submitted by
- antibodies-online (provider)
- Main image

- Experimental details
- Image(s): Flow cytometry
- Submitted by
- antibodies-online (provider)
- Main image

- Experimental details
- Image(s): Flow cytometry