Antibody data
- Antibody Data
- Antigen structure
- References [0]
- Comments [0]
- Validations
- Western blot [2]
- ELISA [1]
- Immunohistochemistry [1]
Submit
Validation data
Reference
Comment
Report error
- Product number
- TA590243 - Provider product page

- Provider
- OriGene
- Product name
- Rabbit Polyclonal TSP50 Antibody
- Antibody type
- Polyclonal
- Description
- Rabbit Polyclonal TSP50 Antibody
- Host
- Rabbit
- Conjugate
- Unconjugated
- Epitope
- PRSS50
- Isotype
- IgG
- Antibody clone number
- NULL
- Vial size
- 100 µg
- Concentration
- 1.1mg/ml
No comments: Submit comment
Supportive validation
- Submitted by
- OriGene (provider)
- Main image

- Experimental details
- Lane 1: Marker [kDa] 219, 111, 83, 48, 32, 26, 17; Lane 2: RT-4; Lane 3: U-251 MG; Lane 4: Human Plasma; Lane 5: Liver; Lane 6: TonsilThis validation was performed by Protein Atlas and the presentation of data is for informational purposes only.
- Validation comment
- WB
- Submitted by
- OriGene (provider)
- Main image

- Experimental details
- HEK293T cells were transfected with the pCMV6-ENTRY control (Left lane) or pCMV6-ENTRY PRSS50 (RC205514, Right lane) cDNA for 48 hrs and lysed. Equivalent amounts of cell lysates (5 ug per lane) were separated by SDS-PAGE and immunoblotted with anti-PRSS50.
- Validation comment
- WB
Supportive validation
- Submitted by
- OriGene (provider)
- Main image

- Experimental details
- ELISA: TSP50 Antibody
- Validation comment
- ELISA
Supportive validation
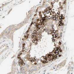
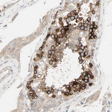
- Submitted by
- OriGene (provider)
- Main image

- Experimental details
- Immunohistochemical staining of human testis shows strong cytoplasmic positivity in cells in seminiferus ducts.Antibody dilution:1:500. Image and statement courtesy of the Human Protein Atlas (HPA).
- Validation comment
- IHC