Antibody data
- Antibody Data
- Antigen structure
- References [0]
- Comments [0]
- Validations
- Western blot [2]
- ELISA [1]
- Immunohistochemistry [1]
Submit
Validation data
Reference
Comment
Report error
- Product number
- LS-C793421 - Provider product page

- Provider
- LSBio
- Product name
- PRSS50 / TSP50 Antibody (N-Terminus) LS-C793421
- Antibody type
- Polyclonal
- Description
- Affinity purified
- Reactivity
- Human
- Host
- Rabbit
- Isotype
- IgG
- Storage
- Store at -20°C. Avoid freeze-thaw cycles.
No comments: Submit comment
Supportive validation
- Submitted by
- LSBio (provider)
- Main image

- Experimental details
- HEK293T cells were transfected with the pCMV6-ENTRY control. (Left lane) or pCMV6-ENTRY PRSS50. (Right lane) cDNA for 48 hrs and lysed
- Submitted by
- LSBio (provider)
- Main image

- Experimental details
- Lane 1: Marker [kDa] 219, 111, 83, 48, 32, 26, 17; Lane 2: RT-4; Lane 3: U-251 MG; Lane 4: Human Plasma; Lane 5: Liver; Lane 6: TonsilThis validation was performed by Protein Atlas and the presentation of data is for informational purposes only.
Supportive validation
- Submitted by
- LSBio (provider)
- Main image

- Experimental details
- ELISA: TSP50 Antibody
Supportive validation
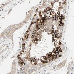
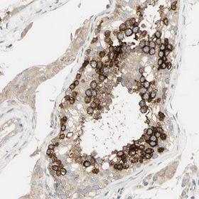
- Submitted by
- LSBio (provider)
- Main image

- Experimental details
- Immunohistochemical staining of human testis shows strong cytoplasmic positivity in cells in seminiferus ducts.Antibody dilution:1:500. Image and statement courtesy of the Human Protein Atlas. (HPA).