Antibody data
- Antibody Data
- Antigen structure
- References [0]
- Comments [0]
- Validations
- Immunohistochemistry [2]
Submit
Validation data
Reference
Comment
Report error
- Product number
- HPA056254 - Provider product page

- Provider
- Atlas Antibodies
- Proper citation
- Atlas Antibodies Cat#HPA056254, RRID:AB_2683080
- Product name
- Anti-SCO2
- Antibody type
- Polyclonal
- Description
- Affinity purified using the PrEST antigen as affinity ligand
- Reactivity
- Human
- Host
- Rabbit
- Conjugate
- Unconjugated
- Antigen sequence
PTAWHRLSQLKPRVLPGTLGGQALHLRSWLLSRQG
PAETGGQGQPQGPGLRTRLLITGLFGAGLGGAWLA
LRAEKERLQQQKRTEALRQAAVGQGDFHLLDHRG- Isotype
- IgG
- Vial size
- 100 µl
- Storage
- Store at +4°C for short term storage. Long time storage is recommended at -20°C.
No comments: Submit comment
Supportive validation
- Submitted by
- Atlas Antibodies (provider)
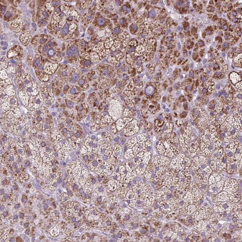
- Main image

- Experimental details
- Immunohistochemical staining of human adrenal gland shows strong cytoplasmic positivity in glandular cells.
- Sample type
- HUMAN
- Submitted by
- Atlas Antibodies (provider)
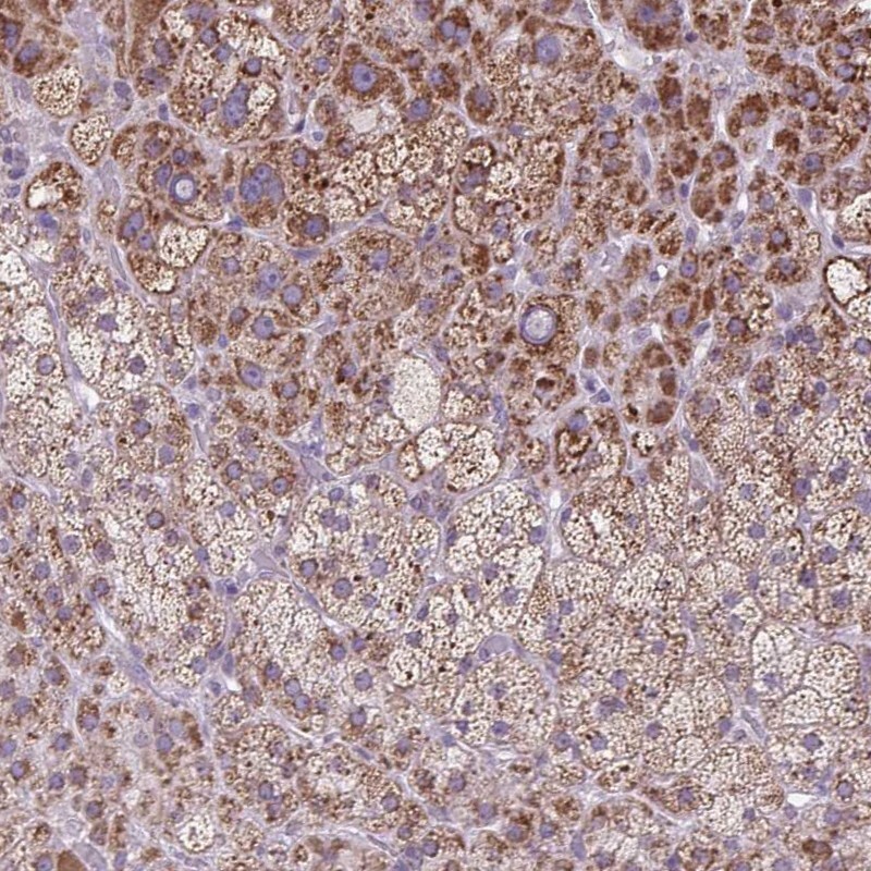
- Main image

- Experimental details
- Immunohistochemical staining of human adrenal gland shows strong cytoplasmic positivity in glandular cells.
- Sample type
- Human
- Protocol
- Protocol