Antibody data
- Antibody Data
- Antigen structure
- References [0]
- Comments [0]
- Validations
- Immunohistochemistry [11]
Submit
Validation data
Reference
Comment
Report error
- Product number
- HPA035363 - Provider product page

- Provider
- Atlas Antibodies
- Proper citation
- Atlas Antibodies Cat#HPA035363, RRID:AB_2674588
- Product name
- Anti-CCDC39
- Antibody type
- Polyclonal
- Description
- Affinity purified using the PrEST antigen as affinity ligand
- Reactivity
- Human
- Host
- Rabbit
- Conjugate
- Unconjugated
- Antigen sequence
TESEEHFKAIAQRELGRVKDEIQRLENEMASILEK
KSDKENGIFKATQKLDGLKCQMNWDQQALEAWLEE
SAHKDSDALTLQKYAQQDDNKIRAL- Isotype
- IgG
- Vial size
- 100 µl
- Storage
- Store at +4°C for short term storage. Long time storage is recommended at -20°C.
No comments: Submit comment
Enhanced validation
Enhanced validation
Supportive validation
- Submitted by
- Atlas Antibodies (provider)
- Enhanced method
- Independent antibody validation
- Main image

- Experimental details
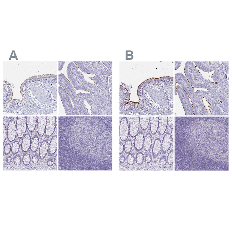
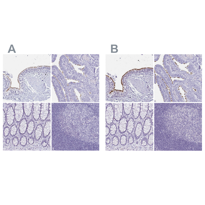
- Immunohistochemical staining of human bronchus, fallopian tube, rectum and tonsil using Anti-CCDC39 antibody HPA035363 (A) shows similar protein distribution across tissues to independent antibody HPA035364 (B).
Enhanced validation
- Submitted by
- Atlas Antibodies (provider)
- Enhanced method
- Independent antibody validation
- Main image

- Experimental details
- Immunohistochemical staining of human bronchus, fallopian tube, rectum and tonsil using Anti-CCDC39 antibody HPA035363 (A) shows similar protein distribution across tissues to independent antibody HPA035364 (B).
- Sample type
- Human
- Secondary Ab
- Secondary Ab
- Protocol
- Protocol
Supportive validation
- Submitted by
- Atlas Antibodies (provider)
- Main image

- Experimental details
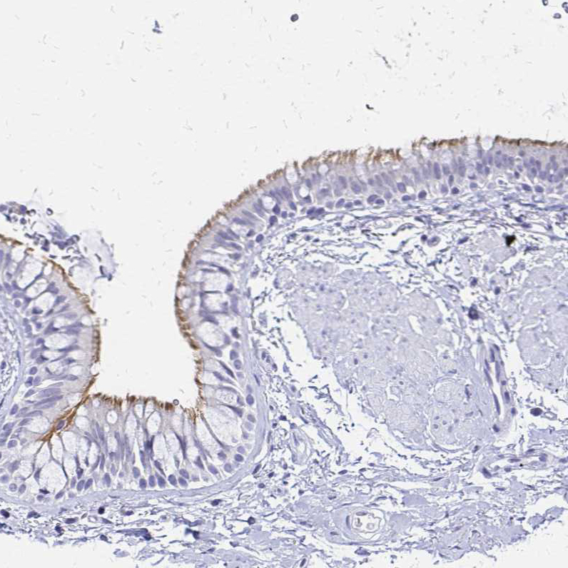
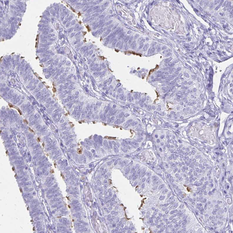
- Immunohistochemical staining of human bronchus shows moderate positivity in cilia of respiratory epithelial cells.
- Submitted by
- Atlas Antibodies (provider)
- Main image

- Experimental details
- Immunohistochemical staining of human bronchus shows moderate positivity in cilia in glandular cells.
- Sample type
- HUMAN
- Submitted by
- Atlas Antibodies (provider)
- Main image

- Experimental details
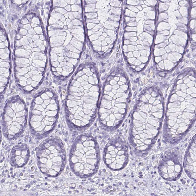
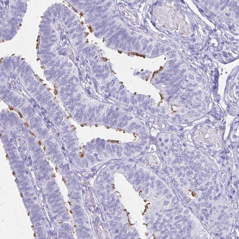
- Immunohistochemical staining of human rectum shows no positivity in glandular cells as expected.
- Sample type
- HUMAN
- Submitted by
- Atlas Antibodies (provider)
- Main image

- Experimental details
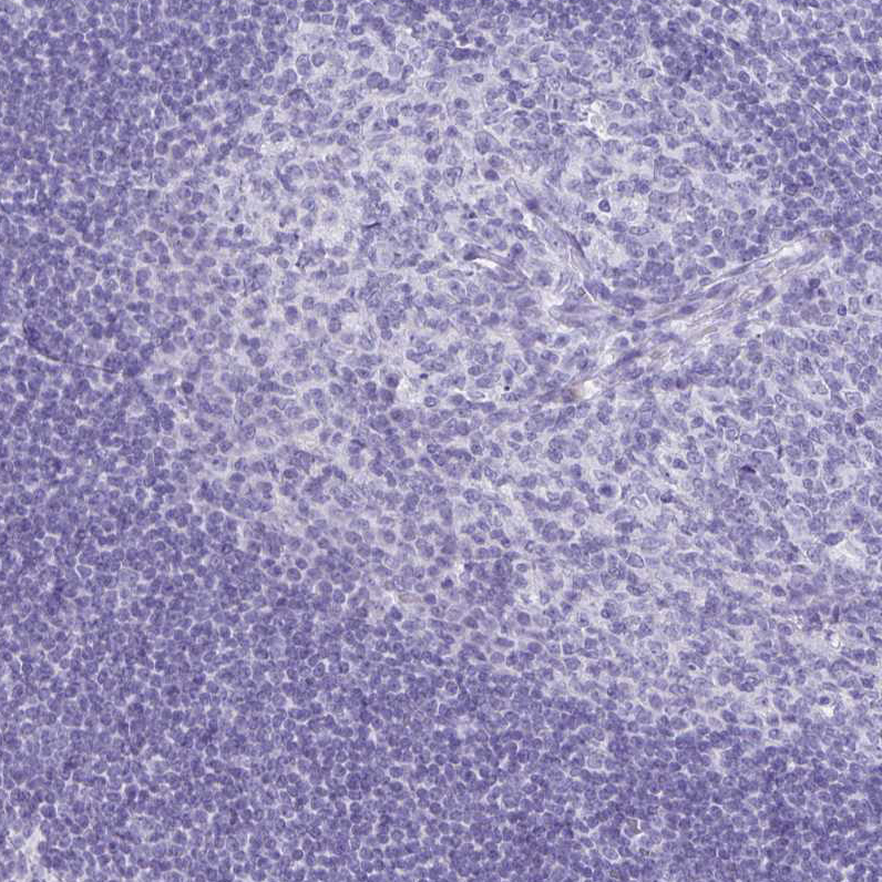
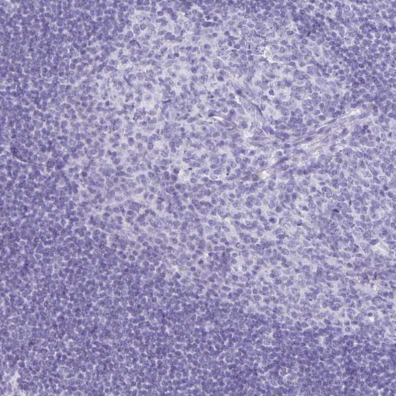
- Immunohistochemical staining of human tonsil shows no positivity in non-germinal center cells as expected.
- Sample type
- HUMAN
- Submitted by
- Atlas Antibodies (provider)
- Main image

- Experimental details
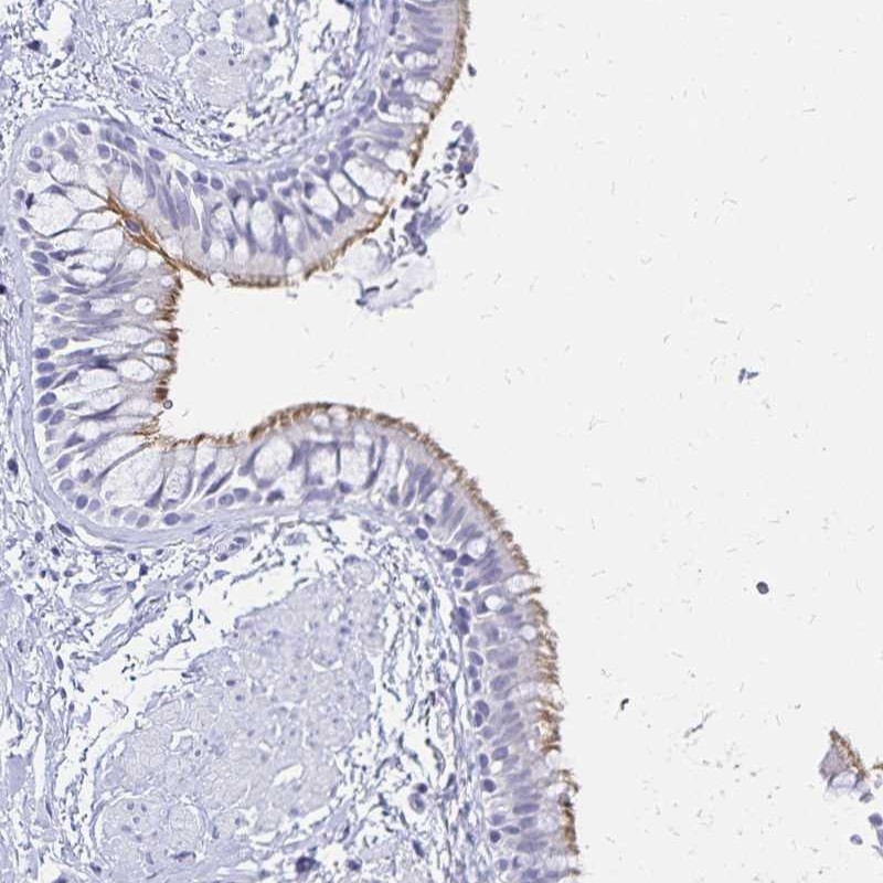
- Immunohistochemical staining of human fallopian tube shows moderate positivity in cilia in glandular cells.
- Sample type
- HUMAN
- Submitted by
- Atlas Antibodies (provider)
- Main image

- Experimental details
- Immunohistochemical staining of human bronchus shows moderate positivity in cilia in glandular cells.
- Sample type
- Human
- Protocol
- Protocol
- Submitted by
- Atlas Antibodies (provider)
- Main image

- Experimental details
- Immunohistochemical staining of human rectum shows no positivity in glandular cells as expected.
- Sample type
- Human
- Protocol
- Protocol
- Submitted by
- Atlas Antibodies (provider)
- Main image

- Experimental details
- Immunohistochemical staining of human tonsil shows no positivity in non-germinal center cells as expected.
- Sample type
- Human
- Protocol
- Protocol
- Submitted by
- Atlas Antibodies (provider)
- Main image

- Experimental details
- Immunohistochemical staining of human fallopian tube shows moderate positivity in cilia in glandular cells.
- Sample type
- Human
- Protocol
- Protocol