Antibody data
- Antibody Data
- Antigen structure
- References [0]
- Comments [0]
- Validations
- Immunohistochemistry [5]
Submit
Validation data
Reference
Comment
Report error
- Product number
- NBP2-33999 - Provider product page

- Provider
- Novus Biologicals
- Product name
- Rabbit Polyclonal CCDC39 Antibody
- Antibody type
- Polyclonal
- Description
- Immunogen affinity purified. Specificity of human CCDC39 antibody verified on a Protein Array containing target protein plus 383 other non-specific proteins.
- Reactivity
- Human
- Host
- Rabbit
- Isotype
- IgG
- Vial size
- 0.1 ml
- Storage
- Store at 4C short term. Aliquot and store at -20C long term. Avoid freeze-thaw cycles.
No comments: Submit comment
Supportive validation
- Submitted by
- Novus Biologicals (provider)
- Main image

- Experimental details
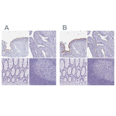
- Immunohistochemistry-Paraffin: CCDC39 Antibody [NBP2-33999] - Staining of human bronchus, fallopian tube, rectum and tonsil using Anti-CCDC39 antibody NBP2-33999 (A) shows similar protein distribution across tissues to independent antibody NBP1-90560 (B).
- Submitted by
- Novus Biologicals (provider)
- Main image

- Experimental details
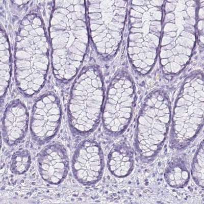
- Immunohistochemistry-Paraffin: CCDC39 Antibody [NBP2-33999] - Staining of human rectum shows no positivity in glandular cells as expected.
- Submitted by
- Novus Biologicals (provider)
- Main image

- Experimental details
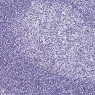
- Immunohistochemistry-Paraffin: CCDC39 Antibody [NBP2-33999] - Staining of human tonsil shows no positivity in non-germinal center cells as expected.
- Submitted by
- Novus Biologicals (provider)
- Main image

- Experimental details
- Immunohistochemistry-Paraffin: CCDC39 Antibody [NBP2-33999] - Staining of human bronchus shows moderate positivity in cilia in glandular cells.
- Submitted by
- Novus Biologicals (provider)
- Main image

- Experimental details
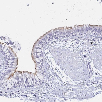
- Immunohistochemistry-Paraffin: CCDC39 Antibody [NBP2-33999] - Staining of human fallopian tube shows moderate positivity in cilia in glandular cells.