Antibody data
- Antibody Data
- Antigen structure
- References [1]
- Comments [0]
- Validations
- Immunohistochemistry [7]
- Other assay [1]
Submit
Validation data
Reference
Comment
Report error
- Product number
- PA5-57243 - Provider product page

- Provider
- Invitrogen Antibodies
- Product name
- CCDC39 Polyclonal Antibody
- Antibody type
- Polyclonal
- Antigen
- Recombinant protein fragment
- Description
- Immunogen sequence: ILDNELTETI SAQLELDKAA QDFRKIHNER QELIKQWENT IEQMQKRDGD IDNCALELAR IKQETREKEN LVKEKIKFLE SEIGNNTEFE KRISVADR Highest antigen sequence identity to the following orthologs: Mouse - 79%, Rat - 81%.
- Reactivity
- Human
- Host
- Rabbit
- Isotype
- IgG
- Vial size
- 100 μL
- Concentration
- 0.3 mg/mL
- Storage
- Store at 4°C short term. For long term storage, store at -20°C, avoiding freeze/thaw cycles.
Submitted references Zinc is a master-regulator of sperm function associated with binding, motility, and metabolic modulation during porcine sperm capacitation.
Zigo M, Kerns K, Sen S, Essien C, Oko R, Xu D, Sutovsky P
Communications biology 2022 Jun 3;5(1):538
Communications biology 2022 Jun 3;5(1):538
No comments: Submit comment
Supportive validation
- Submitted by
- Invitrogen Antibodies (provider)
- Main image

- Experimental details
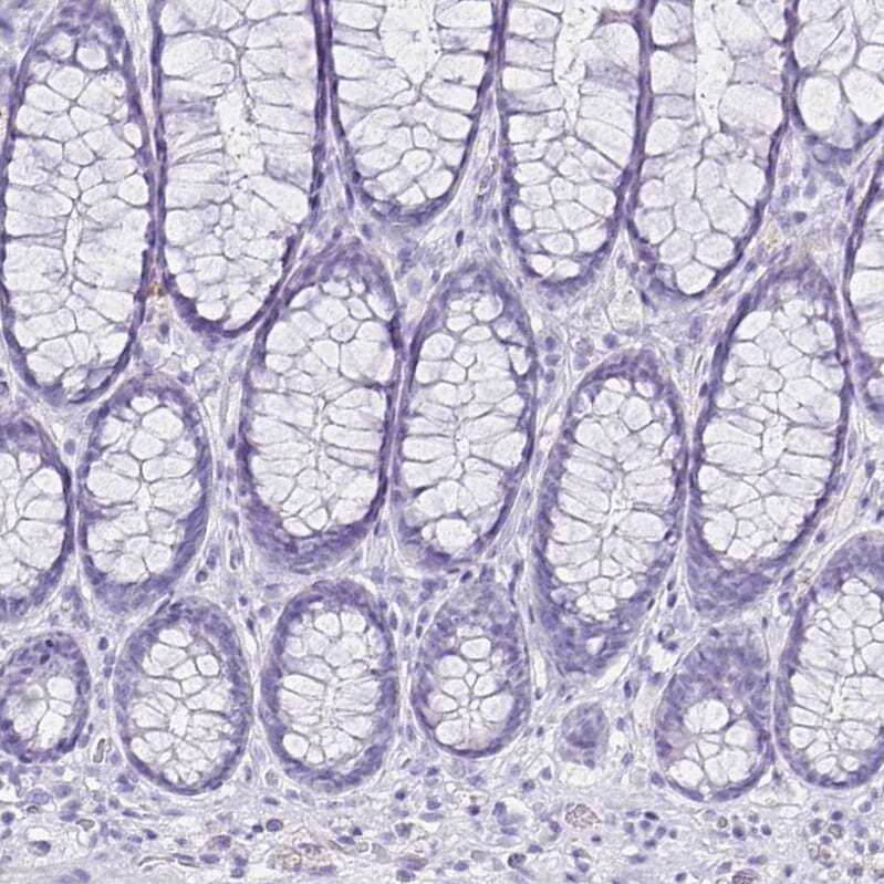
- Immunohistochemical staining of CCDC39 in human rectum using CCDC39 Polyclonal Antibody (Product # PA5-57243) shows no positivity in glandular cells as expected.
- Submitted by
- Invitrogen Antibodies (provider)
- Main image

- Experimental details
- Immunohistochemical staining of CCDC39 in human testis and tonsil tissues using CCDC39 Polyclonal Antibody (Product # PA5-57243). Corresponding CCDC39 RNA-seq data are presented for the same tissues.
- Submitted by
- Invitrogen Antibodies (provider)
- Main image

- Experimental details
- Immunohistochemical staining of CCDC39 in human tonsil using CCDC39 Polyclonal Antibody (Product # PA5-57243) shows no positivity in lymphoid cells as expected.
- Submitted by
- Invitrogen Antibodies (provider)
- Main image

- Experimental details
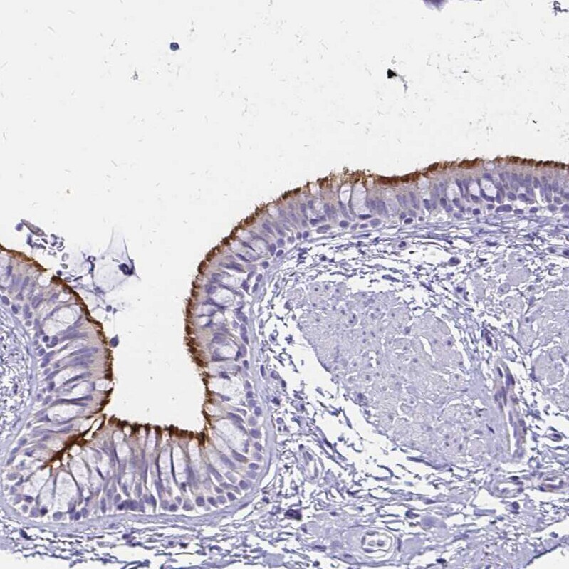
- Immunohistochemical staining of CCDC39 in human bronchus using CCDC39 Polyclonal Antibody (Product # PA5-57243) shows strong positivity in cilia in glandular cells.
- Submitted by
- Invitrogen Antibodies (provider)
- Main image

- Experimental details
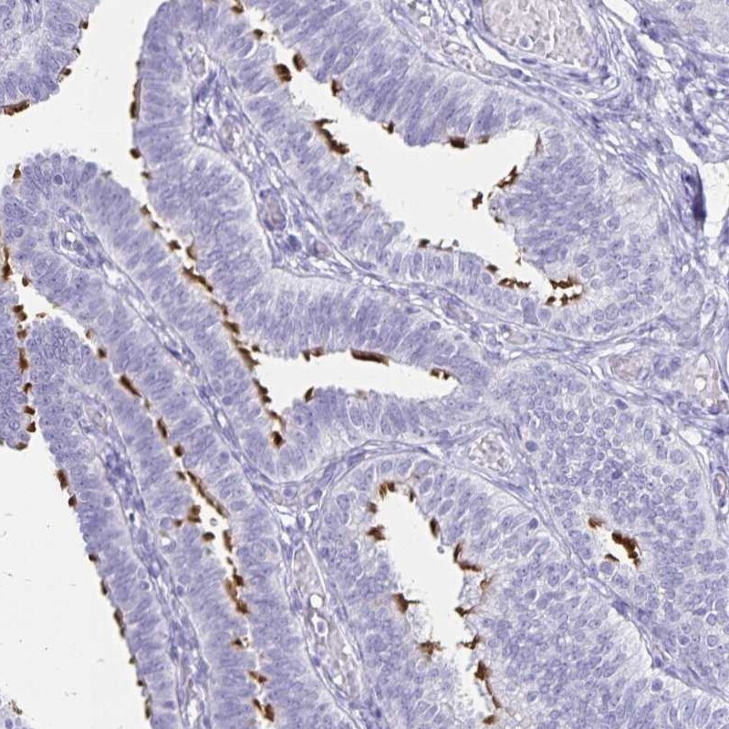
- Immunohistochemical staining of CCDC39 in human fallopian tube using CCDC39 Polyclonal Antibody (Product # PA5-57243) shows strong positivity in cilia in glandular cells.
- Submitted by
- Invitrogen Antibodies (provider)
- Main image

- Experimental details
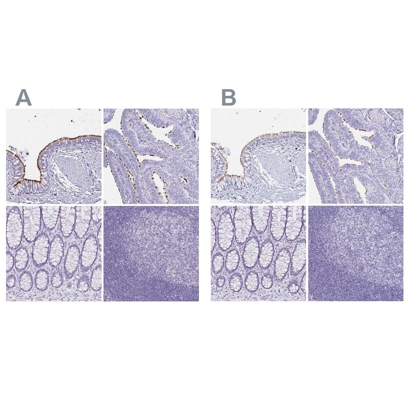
- Immunohistochemical staining of CCDC39 in human bronchus, fallopian tube, rectum and tonsil using CCDC39 Polyclonal Antibody (Product # PA5-57243) (A) shows similar protein distribution across tissues to an independent CCDC39 Polyclonal Antibody (B).
- Submitted by
- Invitrogen Antibodies (provider)
- Main image

- Experimental details
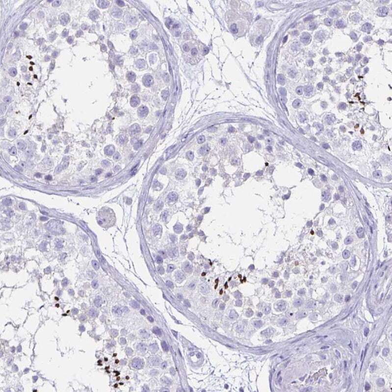
- Immunohistochemical staining of CCDC39 in human testis using CCDC39 Polyclonal Antibody (Product # PA5-57243) shows strong cytoplasmic positivity in spermatozoa.
Supportive validation
- Submitted by
- Invitrogen Antibodies (provider)
- Main image

- Experimental details
- Phenotyping of three significantly different zincoproteins between non-capacitated and IVC spermatozoa. a - c CA2, d - e CCIN, and g - i CCDC39. IBFC of formaldehyde fixed and Triton X-100 permeabilized ( a , d ) or methanol fixed/permeabilized ( g ) spermatozoa; labeled with corresponding primary antibodies. Appropriate species-specific secondary antibodies conjugated to AF488 were used and coincubated with DAPI nuclear stain and PNA-AF647 for acrosome detection. Negative controls with respective non-immune sera of matching immunoglobulin concentration were performed and were published in our previous study. IBFC was performed in 5 replicates with consistent results. WB detection in individual fractions of zincoproteome purification ( b , e , h ), and WB detection in whole sperm extracts ( c , f , i ) were employed to fully characterize the capacitation changes in the studied proteins. The red arrows point to the bands of actual (CA2 ~ 32 kDa, CCIN ~ 60 kDa), and predicted (CCDC39 ~ 110 kDa) molecular weights.WB detection in sperm zincoproteome ( b , e , h ) and the whole sperm extracts ( c , f , i ) was performed in 8 replicates, and 3 replicates respectively. A statistically significant difference ( P < 0.05, two-sample t -test) between non-capacitated and capacitated spermatozoa is indicated by an asterisk.