Antibody data
- Antibody Data
- Antigen structure
- References [2]
- Comments [0]
- Validations
- Immunocytochemistry [1]
- Immunohistochemistry [1]
- Flow cytometry [1]
Submit
Validation data
Reference
Comment
Report error
- Product number
- MAB3894 - Provider product page

- Provider
- R&D Systems
- Product name
- Mouse Thrombomodulin/BDCA-3 Antibody
- Antibody type
- Monoclonal
- Description
- Protein A or G purified from hybridoma culture supernatant. Detects mouse Thrombomodulin/BDCA-3 in direct ELISAs and Western blots. In direct ELISAs and Western blots, no cross-reactivity with recombinant human (rh) Thrombomodulin is observed.
- Reactivity
- Mouse
- Host
- Rat
- Conjugate
- Unconjugated
- Antigen sequence
P15306- Isotype
- IgG
- Antibody clone number
- 461714
- Vial size
- 100 ug
- Concentration
- LYOPH
- Storage
- Use a manual defrost freezer and avoid repeated freeze-thaw cycles. 12 months from date of receipt, -20 to -70 °C as supplied. 1 month, 2 to 8 °C under sterile conditions after reconstitution. 6 months, -20 to -70 °C under sterile conditions after reconstitution.
Submitted references Activated TAFI Promotes the Development of Chronic Thromboembolic Pulmonary Hypertension: A Possible Novel Therapeutic Target.
Heme triggers TLR4 signaling leading to endothelial cell activation and vaso-occlusion in murine sickle cell disease.
Satoh T, Satoh K, Yaoita N, Kikuchi N, Omura J, Kurosawa R, Numano K, Al-Mamun E, Siddique MA, Sunamura S, Nogi M, Suzuki K, Miyata S, Morser J, Shimokawa H
Circulation research 2017 Apr 14;120(8):1246-1262
Circulation research 2017 Apr 14;120(8):1246-1262
Heme triggers TLR4 signaling leading to endothelial cell activation and vaso-occlusion in murine sickle cell disease.
Belcher JD, Chen C, Nguyen J, Milbauer L, Abdulla F, Alayash AI, Smith A, Nath KA, Hebbel RP, Vercellotti GM
Blood 2014 Jan 16;123(3):377-90
Blood 2014 Jan 16;123(3):377-90
No comments: Submit comment
Supportive validation
- Submitted by
- R&D Systems (provider)
- Main image

- Experimental details
- Thrombomodulin/BDCA-3 in bEnd.3 Mouse Cell Line. Thrombomodulin/BDCA-3 was detected in immersion fixed bEnd.3 mouse endothelioma cell line using Mouse Thrombomodulin/BDCA-3 Monoclonal Antibody (Catalog # MAB3894) at 10 µg/mL for 3 hours at room temperature. Cells were stained using the NorthernLights™ 557-conjugated Anti-Rat IgG Secondary Antibody (red; Catalog # NL013) and counterstained with DAPI (blue). View our protocol for Fluorescent ICC Staining of Cells on Coverslips.
Supportive validation
- Submitted by
- R&D Systems (provider)
- Main image

- Experimental details
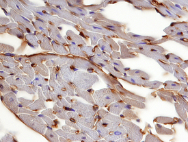
- Thrombomodulin/BDCA-3 in Mouse Heart. Thrombomodulin/BDCA-3 was detected in perfusion fixed frozen sections of mouse heart using 25 µg/mL Mouse Thrombomodulin/BDCA-3 Monoclonal Antibody (Catalog # MAB3894) overnight at 4 °C. Tissue was stained with the Anti-Rat HRP-DAB Cell & Tissue Staining Kit (brown; Catalog # CTS017) and counterstained with hematoxylin (blue). View our protocol for Chromogenic IHC Staining of Paraffin-embedded Tissue Sections.
Supportive validation
- Submitted by
- R&D Systems (provider)
- Main image

- Experimental details
- Detection of Thrombomodulin/BDCA-3 in bEnd.3 Mouse Cell Line by Flow Cytometry. bEnd.3 mouse endothelioma cell line was stained with Mouse Thrombomodulin/BDCA-3 Monoclonal Antibody (Catalog # MAB3894, filled histogram) or isotype control antibody (Catalog # MAB0061, open histogram), followed by Phycoerythrin-conjugated Anti-Rat IgG F(ab')2 Secondary Antibody (Catalog # F0105B).