Antibody data
- Antibody Data
- Antigen structure
- References [0]
- Comments [0]
- Validations
- Immunocytochemistry [1]
- Immunohistochemistry [1]
Submit
Validation data
Reference
Comment
Report error
- Product number
- PA5-21924 - Provider product page

- Provider
- Invitrogen Antibodies
- Product name
- Thrombomodulin Polyclonal Antibody
- Antibody type
- Polyclonal
- Antigen
- Synthetic peptide
- Description
- Recommended positive controls: THP-1. Store product as a concentrated solution. Centrifuge briefly prior to opening the vial.
- Reactivity
- Human
- Host
- Rabbit
- Isotype
- IgG
- Vial size
- 100 μL
- Concentration
- 1 mg/mL
- Storage
- Store at 4°C short term. For long term storage, store at -20°C, avoiding freeze/thaw cycles.
No comments: Submit comment
Supportive validation
- Submitted by
- Invitrogen Antibodies (provider)
- Main image

- Experimental details
- Immunocytochemistry-Immunofluorescence analysis of Thrombomodulin was performed in A431 cells fixed in 4% paraformaldehyde at RT for 15 min. Green: Thrombomodulin Polyclonal Antibody (Product # PA5-21924) diluted at 1:200. Blue: Hoechst 33342 staining.
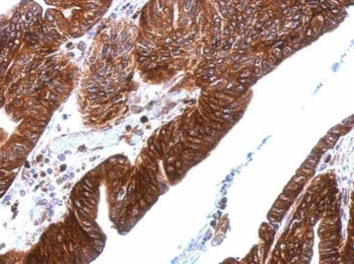
Supportive validation
- Submitted by
- Invitrogen Antibodies (provider)
- Main image

- Experimental details
- Thrombomodulin Polyclonal Antibody detects THBD protein at cytosol and membrane on human gastric cancer by immunohistochemical analysis. Sample: Paraffin-embedded gastric cancer. Thrombomodulin Polyclonal Antibody (Product # PA5-21924) dilution: 1:500. Antigen Retrieval: EDTA based buffer, pH 8.0, 15 min.