AM05567PU-N
antibody from Acris Antibodies GmbH
Targeting: SELP
CD62, CD62P, GMP140, GRMP, PADGEM, PSEL
Antibody data
- Antibody Data
- Antigen structure
- References [0]
- Comments [0]
- Validations
- Immunohistochemistry [2]
- Flow cytometry [1]
Submit
Validation data
Reference
Comment
Report error
- Product number
- AM05567PU-N - Provider product page

- Provider
- Acris Antibodies GmbH
- Proper citation
- Acris Antibodies GmbH Cat#AM05567PU-N, RRID:AB_1613017
- Product name
- anti CD62P / P-Selectin
- Antibody type
- Monoclonal
- Antigen
- CD62P transfected 300.19 cells.
- Reactivity
- Human, Porcine, Sheep
- Host
- Mouse
- Isotype
- IgG
- Antibody clone number
- Psel.KO.2.5
- Vial size
- 0.2 mg
- Concentration
- 1.0 mg/ml
No comments: Submit comment
Supportive validation
- Submitted by
- Acris Antibodies GmbH (provider)
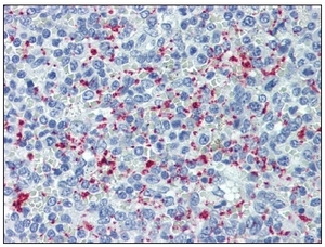
- Main image

- Experimental details
- Immunohistochemistry: AM05567PU-N SELP antibody staining of Formalin-Fixed, Paraffin-Embedded Human Spleen followed by biotinylated secondary antibody, alkaline phosphatase-streptavidin and chromogen.
- Submitted by
- Acris Antibodies GmbH (provider)
- Main image

- Experimental details
- Immunohistochemistry: AM05567PU-N SELP antibody staining of Formalin-Fixed, Paraffin-Embedded Human Tonsil followed by biotinylated secondary antibody, alkaline phosphatase-streptavidin and chromogen.
Supportive validation
- Submitted by
- Acris Antibodies GmbH (provider)
- Main image

- Experimental details
- Flow Cytometry: Staining of thrombin activated peripheral blood platelets with Mouse anti Human CD62P antibody