Antibody data
- Antibody Data
- Antigen structure
- References [0]
- Comments [0]
- Validations
- Western blot [1]
- Immunohistochemistry [2]
- Blocking/Neutralizing [1]
Submit
Validation data
Reference
Comment
Report error
- Product number
- LS-C313409 - Provider product page

- Provider
- LSBio
- Product name
- ICAM-1 / CD54 Antibody (aa214-532) LS-C313409
- Antibody type
- Polyclonal
- Description
- Immunogen affinity purified
- Reactivity
- Human
- Host
- Rabbit
- Storage
- At -20°C for 1 year. After reconstitution, at 4°C for 1 month. It can also be aliquotted and stored frozen at -20°C for a longer time. Avoid freeze-thaw cycles.
No comments: Submit comment
Enhanced validation
- Submitted by
- LSBio (provider)
- Enhanced method
- Genetic validation
- Main image

- Experimental details
- WB of ICAM1 / CD54 antibody. All lanes: Anti-ICAM1 at 0.5ug/ml. Lane 1: HEPG2 Whole Cell Lysate at 40ug. Lane 2: K562 Whole Cell Lysate at 40ug. Lane 3: A549 Whole Cell Lysate at 40ug. Lane 4: HT1080 Whole Cell Lysate at 40ug. Predicted bind size: 58KD. Observed bind size: 100KD.
Supportive validation
- Submitted by
- LSBio (provider)
- Enhanced method
- Genetic validation
- Main image

- Experimental details
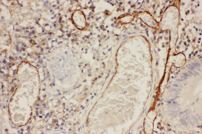
- ICAM1 / CD54 antibody. IHC(P): Human Intestinal Cancer Tissue.
- Submitted by
- LSBio (provider)
- Enhanced method
- Genetic validation
- Main image

- Experimental details
- ICAM1 / CD54 antibody. IHC(P): Human Intestinal Cancer Tissue.
Enhanced validation
- Submitted by
- LSBio (provider)
- Enhanced method
- Genetic validation
- Main image

- Experimental details
- WB of ICAM1 / CD54 antibody. All lanes: Anti-ICAM1 at 0.5ug/ml. Lane 1: HEPG2 Whole Cell Lysate at 40ug. Lane 2: K562 Whole Cell Lysate at 40ug. Lane 3: A549 Whole Cell Lysate at 40ug. Lane 4: HT1080 Whole Cell Lysate at 40ug. Predicted bind size: 58KD. Observed bind size: 100KD.