Antibody data
- Antibody Data
- Antigen structure
- References [0]
- Comments [0]
- Validations
- Immunohistochemistry [13]
Submit
Validation data
Reference
Comment
Report error
- Product number
- LS-C210425 - Provider product page

- Provider
- LSBio
- Product name
- Anti-CD14 Antibody (Internal, clone SP192) LS-C210425
- Antibody type
- Monoclonal
- Description
- Protein A/G purified
- Reactivity
- Human
- Host
- Rabbit
- Isotype
- IgG
- Antibody clone number
- SP192
- Vial size
- 500µl
- Storage
- Store at 2-8°C. Do not freeze.
No comments: Submit comment
Supportive validation
- Submitted by
- LSBio (provider)
- Main image

- Experimental details
- Immunohistochemistry of Human tonsil stained with anti-CD14 antibody
- Submitted by
- LSBio (provider)
- Main image

- Experimental details
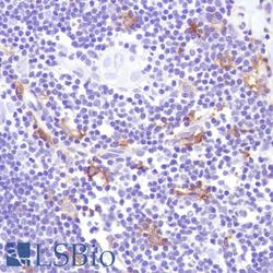
- Immunohistochemistry of Human Thymus stained with anti-CD14 antibody
- Submitted by
- LSBio (provider)
- Main image

- Experimental details
- Immunohistochemistry of Human Bone Marrow stained with anti-CD14 antibody
- Submitted by
- LSBio (provider)
- Main image

- Experimental details
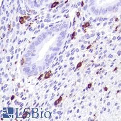
- Immunohistochemistry of Human Colon stained with anti-CD14 antibody
- Submitted by
- LSBio (provider)
- Main image

- Experimental details
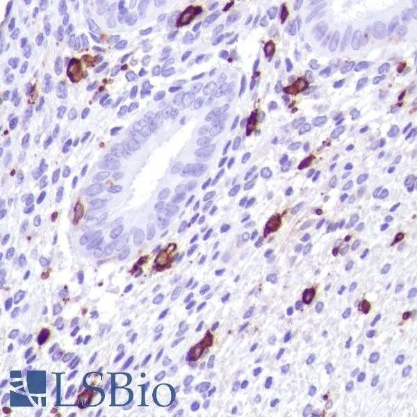
- Immunohistochemistry of Human Colon Adenocarcinoma stained with anti-CD14 antibody
- Submitted by
- LSBio (provider)
- Main image

- Experimental details
- Immunohistochemistry of Human Spleen stained with anti-CD14 antibody
- Submitted by
- LSBio (provider)
- Main image

- Experimental details
- Immunohistochemistry of Human Lung stained with anti-CD14 antibody
- Submitted by
- LSBio (provider)
- Main image

- Experimental details
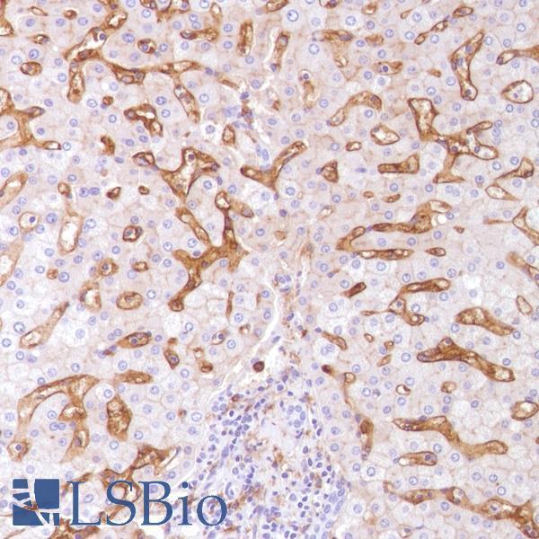
- Immunohistochemistry of Human Liver stained with anti-CD14 antibody
- Submitted by
- LSBio (provider)
- Main image

- Experimental details
- Immunohistochemistry of Human Esophagus stained with anti-CD14 antibody
- Submitted by
- LSBio (provider)
- Main image

- Experimental details
- Immunohistochemistry of Human Endometrium stained with anti-CD14 antibody
- Submitted by
- LSBio (provider)
- Main image

- Experimental details
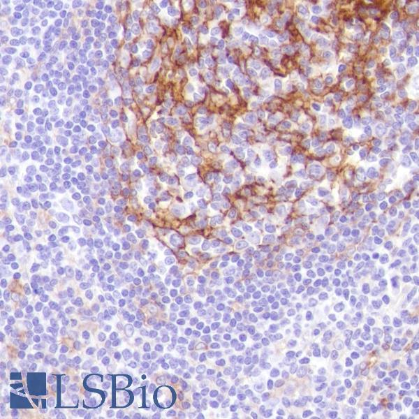
- Immunohistochemistry of Human HK Lymphoma stained with anti-CD14 antibody
- Submitted by
- LSBio (provider)
- Main image

- Experimental details
- Immunohistochemistry of Human B Cell Lymphoma stained with anti-CD14 antibody
- Submitted by
- LSBio (provider)
- Main image

- Experimental details
- Immunohistochemistry of Human Bladder stained with anti-CD14 antibody