21123
antibody from Signalway Antibody LLC
Targeting: CHUK
IkBKA, IKK-alpha, IKK1, IKKA, NFKBIKA, TCF16
Antibody data
- Antibody Data
- Antigen structure
- References [0]
- Comments [0]
- Validations
- Western blot [1]
- Immunocytochemistry [1]
- Immunohistochemistry [1]
Submit
Validation data
Reference
Comment
Report error
- Product number
- 21123 - Provider product page

- Provider
- Signalway Antibody LLC
- Product name
- IKK a(Ab-23) Antibody
- Antibody type
- Polyclonal
- Antigen
- The antibody detects endogenous level of total IKKa protein.
- Host
- Rabbit
- Conjugate
- Unconjugated
- Vial size
- 50µl
No comments: Submit comment
Supportive validation
- Submitted by
- Signalway Antibody LLC (provider)
- Main image

- Experimental details
- Western blot analysis of extracts from Hela, 293 and 3T3 cells using IKK a(Ab-23) Antibody #21123.
Supportive validation
- Submitted by
- Signalway Antibody LLC (provider)
- Main image

- Experimental details
- Immunofluorescence analysis of paraformaldehyde-fixed A431, using cyclin T2 antibody at 1: 200 dilution.
Supportive validation
- Submitted by
- Signalway Antibody LLC (provider)
- Main image

- Experimental details
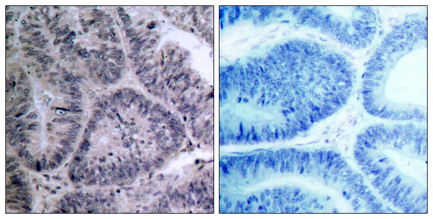
- Immunohistochemical analysis of paraffin-embedded human colon carcinoma tissue using IKK a(Ab-23) Antibody #21123(left) or the same antibody preincubated with blocking peptide(right).