Antibody data
- Antibody Data
- Antigen structure
- References [0]
- Comments [0]
- Validations
- Western blot [2]
- Immunocytochemistry [2]
- Immunohistochemistry [8]
Submit
Validation data
Reference
Comment
Report error
- Product number
- LS-C344038 - Provider product page

- Provider
- LSBio
- Product name
- JUP/CTNNG/Junction Plakoglobin Antibody (aa556-745) LS-C344038
- Antibody type
- Polyclonal
- Description
- Immunogen affinity purified
- Reactivity
- Human, Mouse, Rat
- Host
- Rabbit
- Storage
- At -20°C for 1 year. After reconstitution, at 4°C for 1 month. It can also be aliquotted and stored frozen at -20°C for a longer time. Avoid freeze-thaw cycles.
No comments: Submit comment
Enhanced validation
- Submitted by
- LSBio (provider)
- Enhanced method
- Genetic validation
- Main image

- Experimental details
- gamma Catenin antibody Western blot. All lanes: Anti gamma Catenin at 0.5 ug/ml. WB: Recombinant Human gamma Catenin Protein 0.5ng. Predicted band size: 47 kD. Observed band size: 47 kD.
- Submitted by
- LSBio (provider)
- Enhanced method
- Genetic validation
- Main image

- Experimental details
- gamma Catenin antibody Western blot. All lanes: Anti gamma Catenin at 0.5 ug/ml. Lane 1: Rat Brain Tissue Lysate at 50 ug. Lane 2: Rat Cardiac Muscle Tissue Lysate at 50 ug. Lane 3: Rat Thymus Tissue Lysate at 50 ug. Lane 4: RH35 Whole Cell Lysate at 40 ug. Lane 5: HeLa Whole Cell Lysate at 40 ug. Lane 6: Colo320 Whole Cell Lysate at 40 ug. Lane 7: HepG2 Whole Cell Lysate at 40 ug. Lane 8: HepA Whole Cell Lysate at 40 ug. Lane 9: MCF-7 Whole Cell Lysate at 40 ug. Predicted band size: 81 kD. Observed band size: 81 kD.
Supportive validation
- Submitted by
- LSBio (provider)
- Enhanced method
- Genetic validation
- Main image

- Experimental details
- ICC analysis of gamma Catenin using anti-gamma Catenin antibody. gamma Catenin was detected in immunocytochemical section of human MCF-7 cell. Heat mediated antigen retrieval was performed in citrate buffer (pH6, epitope retrieval solution) for 20 mins. The tissue section was blocked with 10% goat serum. The tissue section was then incubated with 1µg/ml rabbit anti-gamma Catenin Antibody overnight at 4°C. Biotinylated goat anti-rabbit IgG was used as secondary antibody and incubated for 30 minutes at 37°C. The tissue section was developed using Strepavidin-Biotin-Complex (SABC) with DAB as the chromogen.
- Submitted by
- LSBio (provider)
- Main image

- Experimental details
- ICC analysis of gamma Catenin using anti-gamma Catenin antibody. gamma Catenin was detected in immunocytochemical section of human MCF-7 cell. Heat mediated antigen retrieval was performed in citrate buffer (pH6, epitope retrieval solution) for 20 mins. The tissue section was blocked with 10% goat serum. The tissue section was then incubated with 1µg/ml rabbit anti-gamma Catenin Antibody overnight at 4°C. Biotinylated goat anti-rabbit IgG was used as secondary antibody and incubated for 30 minutes at 37°C. The tissue section was developed using Strepavidin-Biotin-Complex (SABC) with DAB as the chromogen.
Enhanced validation
- Submitted by
- LSBio (provider)
- Enhanced method
- Genetic validation
- Main image

- Experimental details
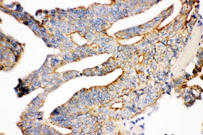
- gamma Catenin antibody IHC-paraffin: Human Intestinal Cancer Tissue.
- Submitted by
- LSBio (provider)
- Enhanced method
- Genetic validation
- Main image

- Experimental details
- gamma Catenin antibody IHC-paraffin: Mouse Intestine Tissue.
- Submitted by
- LSBio (provider)
- Enhanced method
- Genetic validation
- Main image

- Experimental details
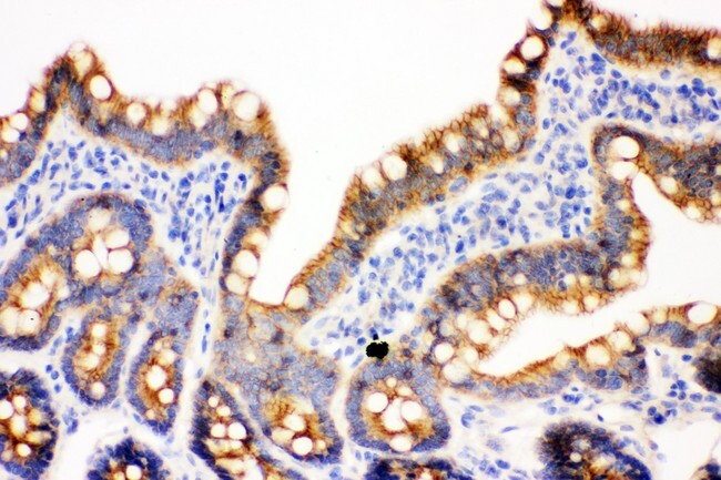
- gamma Catenin antibody IHC-paraffin: Rat Intestine Tissue.
- Submitted by
- LSBio (provider)
- Enhanced method
- Genetic validation
- Main image

- Experimental details
- gamma Catenin antibody IHC-frozen: Rat Intestine Tissue.
- Submitted by
- LSBio (provider)
- Enhanced method
- Genetic validation
- Main image

- Experimental details
- gamma Catenin antibody IHC-paraffin: Human Intestinal Cancer Tissue.
- Submitted by
- LSBio (provider)
- Enhanced method
- Genetic validation
- Main image

- Experimental details
- gamma Catenin antibody IHC-paraffin: Mouse Intestine Tissue.
- Submitted by
- LSBio (provider)
- Enhanced method
- Genetic validation
- Main image

- Experimental details
- gamma Catenin antibody IHC-paraffin: Rat Intestine Tissue.
- Submitted by
- LSBio (provider)
- Enhanced method
- Genetic validation
- Main image

- Experimental details
- gamma Catenin antibody IHC-frozen: Rat Intestine Tissue.