AM11108PU-S
antibody from OriGene
Targeting: CD44
CD44R, CSPG8, HCELL, IN, MC56, MDU2, MDU3, MIC4, Pgp1
Antibody data
- Antibody Data
- Antigen structure
- References [0]
- Comments [0]
- Validations
- Western blot [1]
- Immunohistochemistry [1]
Submit
Validation data
Reference
Comment
Report error
- Product number
- AM11108PU-S - Provider product page

- Provider
- OriGene
- Product name
- Rabbit monoclonal anti-CD44 antibody, cloneSP37, Purified
- Antibody type
- Monoclonal
- Description
- Rabbit monoclonal anti-CD44 antibody, cloneSP37, Purified
- Reactivity
- Human
- Host
- Rabbit
- Conjugate
- Unconjugated
- Isotype
- IgG
- Antibody clone number
- Clone SP37
- Vial size
- 0.1ml
No comments: Submit comment
Supportive validation
- Submitted by
- OriGene (provider)
- Main image

- Experimental details
- Western Blot analysis of HeLa cell lysate with CD44 antibody
- Validation comment
- WB
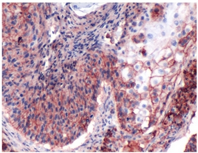
Supportive validation
- Submitted by
- OriGene (provider)
- Main image

- Experimental details
- Human esophageal carcinoma stained with anti-CD44 antibody
- Validation comment
- IHC