Antibody data
- Antibody Data
- Antigen structure
- References [1]
- Comments [0]
- Validations
- Western blot [2]
- Immunohistochemistry [6]
Submit
Validation data
Reference
Comment
Report error
- Product number
- NBP1-87363 - Provider product page

- Provider
- Novus Biologicals
- Proper citation
- Novus Cat#NBP1-87363, RRID:AB_11010545
- Product name
- Rabbit Polyclonal OASL Antibody
- Antibody type
- Polyclonal
- Description
- Immunogen affinity purified. Specificity of human OASL antibody verified on a Protein Array containing target protein plus 383 other non-specific proteins.
- Reactivity
- Human
- Host
- Rabbit
- Isotype
- IgG
- Vial size
- 0.1 ml
- Storage
- Store at 4C short term. Aliquot and store at -20C long term. Avoid freeze-thaw cycles.
Submitted references Enterovirus infection, CXC chemokine ligand 10 (CXCL10), and CXCR3 circuit: a mechanism of accelerated beta-cell failure in fulminant type 1 diabetes.
Tanaka S, Nishida Y, Aida K, Maruyama T, Shimada A, Suzuki M, Shimura H, Takizawa S, Takahashi M, Akiyama D, Arai-Yamashita S, Furuya F, Kawaguchi A, Kaneshige M, Katoh R, Endo T, Kobayashi T
Diabetes 2009 Oct;58(10):2285-91
Diabetes 2009 Oct;58(10):2285-91
No comments: Submit comment
Supportive validation
- Submitted by
- Novus Biologicals (provider)
- Main image

- Experimental details
- Western Blot: OASL Antibody [NBP1-87363] - Lane 1: Marker [kDa] 230, 130, 95, 72, 56, 36, 28, 17, 11. Lane 2: Human cell line RT-4. Lane 3: Human cell line U-251MG sp
- Submitted by
- Novus Biologicals (provider)
- Main image

- Experimental details
- Western Blot: OASL Antibody [NBP1-87363] - Analysis in human cell line HDLM-2.
Supportive validation
- Submitted by
- Novus Biologicals (provider)
- Main image

- Experimental details
- Immunohistochemistry-Paraffin: OASL Antibody [NBP1-87363] - Staining of human bone marrow shows nuclear positivity in bone marrow poietic cells.
- Submitted by
- Novus Biologicals (provider)
- Main image

- Experimental details
- Immunohistochemistry-Paraffin: OASL Antibody [NBP1-87363] - Staining of human bone marrow shows moderate nuclear positivity in hematopoietic cells.
- Submitted by
- Novus Biologicals (provider)
- Main image

- Experimental details
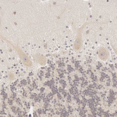
- Immunohistochemistry-Paraffin: OASL Antibody [NBP1-87363] - Staining of human cerebellum shows no positivity in Purkinje cells as expected.
- Submitted by
- Novus Biologicals (provider)
- Main image

- Experimental details
- Immunohistochemistry-Paraffin: OASL Antibody [NBP1-87363] - Staining of human colon shows weak to moderate nuclear positivity in glandular cells.
- Submitted by
- Novus Biologicals (provider)
- Main image

- Experimental details
- Immunohistochemistry-Paraffin: OASL Antibody [NBP1-87363] - Staining of human placenta shows weak to moderate nuclear positivity in trophoblastic cells.
- Submitted by
- Novus Biologicals (provider)
- Main image

- Experimental details
- Immunohistochemistry-Paraffin: OASL Antibody [NBP1-87363] - Staining of human urinary bladder shows weak to moderate nuclear positivity in urothelial cells.