Antibody data
- Antibody Data
- Antigen structure
- References [0]
- Comments [0]
- Validations
- Western blot [1]
- Immunohistochemistry [1]
Submit
Validation data
Reference
Comment
Report error
- Product number
- AP20419PU-N - Provider product page

- Provider
- OriGene
- Product name
- TPTEP2-CSNK1E rabbit polyclonal antibody, Aff - Purified
- Antibody type
- Polyclonal
- Description
- TPTEP2-CSNK1E rabbit polyclonal antibody, Aff - Purified
- Host
- Rabbit
- Conjugate
- Unconjugated
- Epitope
- TPTEP2-CSNK1E
- Antibody clone number
- NULL
- Vial size
- 100 µg
- Concentration
- 1.0 mg/ml
No comments: Submit comment
Supportive validation
- Submitted by
- OriGene (provider)
- Main image

- Experimental details
- Western blot analysis of Casein Kinase Ie antibody in extracts from LOVO cells.
- Validation comment
- WB
Supportive validation
- Submitted by
- OriGene (provider)
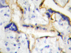
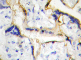
- Main image

- Experimental details
- Immunohistochemistry analyzes of Casein Kinase I?? antibody in paraffin-embedded human placenta tissue.
- Validation comment
- IHC