Antibody data
- Antibody Data
- Antigen structure
- References [5]
- Comments [0]
- Validations
- Western blot [1]
- Immunohistochemistry [3]
Submit
Validation data
Reference
Comment
Report error
- Product number
- NBP1-06398 - Provider product page

- Provider
- Novus Biologicals
- Proper citation
- Novus Cat#NBP1-06398, RRID:AB_1556164
- Product name
- Rabbit Polyclonal Glutathione Peroxidase 3/GPX3 Antibody
- Antibody type
- Polyclonal
- Description
- Unpurified.
- Reactivity
- Human, Rat, Simian
- Host
- Rabbit
- Isotype
- IgG
- Vial size
- 0.1 ml
- Storage
- Store at 4C short term. Aliquot and store at -20C long term. Avoid freeze-thaw cycles.
Submitted references Differential protein expression profiling by iTRAQ-2D-LC-MS/MS of rats treated with oxaliplatin.
Competing trends of ROS and RNS-mediated protein modifications during hypoxia as an alternate mechanism of NO benefits.
STAT3-RXR-Nrf2 activates systemic redox and energy homeostasis upon steep decline in pO(2) gradient.
GSH-dependent antioxidant defense contributes to the acclimation of colon cancer cells to acidic microenvironment.
Positive ALDH1A3 and negative GPX3 expressions are biomarkers for poor prognosis of gallbladder cancer.
Sun X, Lv Y, Wang J, Cheng H, Huang J, Du Y, Dong J
Journal of cellular biochemistry 2019 Oct;120(10):18128-18141
Journal of cellular biochemistry 2019 Oct;120(10):18128-18141
Competing trends of ROS and RNS-mediated protein modifications during hypoxia as an alternate mechanism of NO benefits.
Gangwar A, Paul S, Ahmad Y, Bhargava K
Biochimie 2018 May;148:127-138
Biochimie 2018 May;148:127-138
STAT3-RXR-Nrf2 activates systemic redox and energy homeostasis upon steep decline in pO(2) gradient.
Paul S, Gangwar A, Bhargava K, Ahmad Y
Redox biology 2018 Apr;14:423-438
Redox biology 2018 Apr;14:423-438
GSH-dependent antioxidant defense contributes to the acclimation of colon cancer cells to acidic microenvironment.
Zhao M, Liu Q, Gong Y, Xu X, Zhang C, Liu X, Zhang C, Guo H, Zhang X, Gong Y, Shao C
Cell cycle (Georgetown, Tex.) 2016;15(8):1125-33
Cell cycle (Georgetown, Tex.) 2016;15(8):1125-33
Positive ALDH1A3 and negative GPX3 expressions are biomarkers for poor prognosis of gallbladder cancer.
Yang ZL, Yang L, Zou Q, Yuan Y, Li J, Liang L, Zeng G, Chen S
Disease markers 2013;35(3):163-72
Disease markers 2013;35(3):163-72
No comments: Submit comment
Supportive validation
- Submitted by
- Novus Biologicals (provider)
- Main image

- Experimental details
- Western Blot: Glutathione Peroxidase 3/GPX3 Antibody [NBP1-06398] - Analysis of GPX3 in human kidney lysate.
Supportive validation
- Submitted by
- Novus Biologicals (provider)
- Main image

- Experimental details
- Immunohistochemistry-Paraffin: Glutathione Peroxidase 3/GPX3 Antibody [NBP1-06398] - IHC analysis of formalin fixed paraffin-embedded (FFPE) human kidney using 1:200 conc. of Glutathione Peroxidase 3 antibody on a Bond Rx autostainer (Leica Biosystems). The assay involved 20 minutes of heat induced antigen retrieval (HIER) using 10mM sodium citrate buffer (pH 6.0) and endogenous peroxidase quenching with peroxide block. The sections were incubated with primary antibody for 30 minutes and Bond Polymer Refine Detection (Leica Biosystems) with DAB was used for signal development followed by counterstaining with hematoxylin. Whole slide scanning and capturing of representative images was performed using Aperio AT2 (Leica Biosystems). Cytoplasmic staining of Glutathione Peroxidase 3 was observed. Staining was performed by Histowiz.
- Submitted by
- Novus Biologicals (provider)
- Main image

- Experimental details
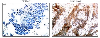
- Immunohistochemistry: Glutathione Peroxidase 3/GPX3 Antibody [NBP1-06398] - GPX3 expressions in adenocarcinoma (AC). EnVision immunohistochemistry, original magnification x200. GPX3 positive reaction was mainly localized in the cytoplasm. Negative GPX3 expression in poorly differentiated AC (c), and positive GPX3 expression in well-differentiated AC (d). Image collected and cropped by CiteAb from the following publication (http://www.hindawi.com/journals/dm/2013/187043/), licensed under a CC-BY licence.
- Submitted by
- Novus Biologicals (provider)
- Main image

- Experimental details
- Immunohistochemistry: Glutathione Peroxidase 3/GPX3 Antibody [NBP1-06398] - GPX3 expressions in squamous carcinomas/adenosquamous carcinomas (SC/ASC). EnVision immunohistochemistry, original magnification x200. GPX3 positive reaction was mainly localized in the cytoplasm. Negative GPX3 expression in poorly differentiated SC/ASC (c). Positive GPX3 expression in well-differentiated SC/ASC (d). Image collected and cropped by CiteAb from the following publication (http://www.hindawi.com/journals/dm/2013/187043/), licensed under a CC-BY licence.