Antibody data
- Antibody Data
- Antigen structure
- References [0]
- Comments [0]
- Validations
- Western blot [1]
- Immunohistochemistry [2]
Submit
Validation data
Reference
Comment
Report error
- Product number
- AP23073PU-N - Provider product page

- Provider
- OriGene
- Product name
- TSTD3 (N-term) goat polyclonal antibody, Purified
- Antibody type
- Polyclonal
- Description
- TSTD3 (N-term) goat polyclonal antibody, Purified
- Host
- Goat
- Conjugate
- Unconjugated
- Epitope
- TSTD3
- Antibody clone number
- NULL
- Vial size
- 50 µg
- Concentration
- NULL
No comments: Submit comment
Supportive validation
- Submitted by
- OriGene (provider)
- Main image

- Experimental details
- Antibody staining (2 ug/ml) of Human Kidney extracts (RIPA buffer, 35 ug total protein per lane). Primary incubated for 1 hour. Detected by western blot using chemiluminescence.
- Validation comment
- WB
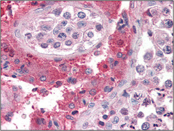
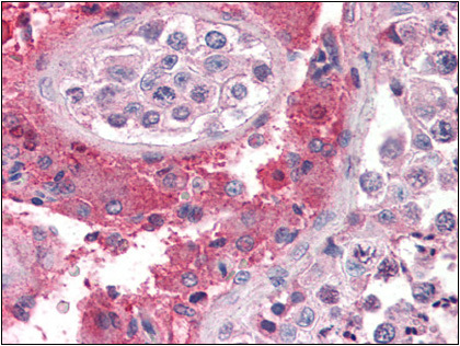
Supportive validation
- Submitted by
- OriGene (provider)
- Main image

- Experimental details
- Testis, Human: Formalin-Fixed, Paraffin-Embedded (FFPE)
- Validation comment
- IHC
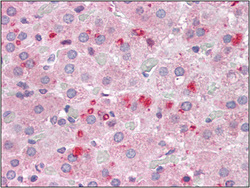
- Submitted by
- OriGene (provider)
- Main image

- Experimental details
- Adrenal, Human: Formalin-Fixed, Paraffin-Embedded (FFPE)
- Validation comment
- IHC