Antibody data
- Antibody Data
- Antigen structure
- References [0]
- Comments [0]
- Validations
- Western blot [1]
- Immunohistochemistry [1]
Submit
Validation data
Reference
Comment
Report error
- Product number
- TA329495 - Provider product page

- Provider
- OriGene
- Product name
- Rabbit Polyclonal anti-C5orf4 antibody
- Antibody type
- Polyclonal
- Description
- Rabbit Polyclonal anti-C5orf4 antibody
- Host
- Rabbit
- Conjugate
- Unconjugated
- Epitope
- FAXDC2
- Isotype
- IgG
- Antibody clone number
- NULL
- Vial size
- 100 µl
- Concentration
- NULL
No comments: Submit comment
Supportive validation
- Submitted by
- OriGene (provider)
- Main image

- Experimental details
- WB Suggested Anti-C5orf4 Antibody Titration: 0.2-1 ug/ml; Positive Control: HepG2 cell lysateThere is BioGPS gene expression data showing that FAXDC2 is expressed in HepG2
- Validation comment
- WB
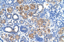
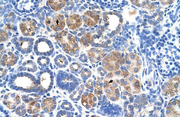
Supportive validation
- Submitted by
- OriGene (provider)
- Main image

- Experimental details
- Human kidney
- Validation comment
- IHC