OPA1-15292
antibody from Invitrogen Antibodies
Targeting: PROKR2
dJ680N4.3, GPR73b, GPR73L1, GPRg2, KAL3, PKR2
Antibody data
- Antibody Data
- Antigen structure
- References [0]
- Comments [0]
- Validations
- Immunohistochemistry [3]
Submit
Validation data
Reference
Comment
Report error
- Product number
- OPA1-15292 - Provider product page

- Provider
- Invitrogen Antibodies
- Product name
- Prokineticin Receptor 2 Polyclonal Antibody
- Antibody type
- Polyclonal
- Antigen
- Synthetic peptide
- Description
- OPA1-15292 has been successfully used in immunohistochemistry procedures. By immunohistochemistry, OPA1-15292 detects the prokineticin receptor 2 (GPR73B) in formalin fixed, paraffin embedded human tissues.
- Reactivity
- Human
- Host
- Rabbit
- Isotype
- IgG
- Vial size
- 25 µg
- Concentration
- 1 mg/mL
- Storage
- Store at 4°C short term. For long term storage, store at -20°C, avoiding freeze/thaw cycles.
No comments: Submit comment
Supportive validation
- Submitted by
- Invitrogen Antibodies (provider)
- Main image

- Experimental details
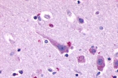
- Immunohistochemistry (Paraffin) analysis of Prokineticin Receptor 2 in human brain tissue (neurons and glia) using Prokineticin Receptor 2 Polyclonal Antibody (Product # OPA1-15292). Antigen retrival : Heat-induced antigen retrieval.
- Submitted by
- Invitrogen Antibodies (provider)
- Main image

- Experimental details
- Immunohistochemical (Paraffin) analysis of human brain, glioblastoma tissue using (Product # OPA1-15292) Prokineticin Receptor 2 Polyclonal Antibody. Antigen retrieval: Heat-induced antigen retrieval.
- Submitted by
- Invitrogen Antibodies (provider)
- Main image

- Experimental details
- Immunohistochemical (Paraffin) analysis of human brain, neurons and glia tissue using (Product # OPA1-15292) Prokineticin Receptor 2 Polyclonal Antibody. Antigen retrieval: Heat-induced antigen retrieval.