Antibody data
- Antibody Data
- Antigen structure
- References [0]
- Comments [0]
- Validations
- Immunohistochemistry [5]
Submit
Validation data
Reference
Comment
Report error
- Product number
- PA5-140350 - Provider product page

- Provider
- Invitrogen Antibodies
- Product name
- KIAA2012 Polyclonal Antibody
- Antibody type
- Polyclonal
- Antigen
- Recombinant protein fragment
- Description
- Gently mix before use. Optimal concentrations and conditions for each application should be determined by the user. Immunogen sequence: THHNDQDPEP RSMTLDSPRA SRTEHIQTPE ADIVQKVGRD YDVHHLHRGL LGYGPESPER LSAVYTSLLP REREGKAEPR LFS
- Reactivity
- Human
- Host
- Rabbit
- Isotype
- IgG
- Vial size
- 100 μL
- Concentration
- 0.3 mg/mL
- Storage
- Store at 4°C short term. For long term storage, store at -20°C, avoiding freeze/thaw cycles.
No comments: Submit comment
Supportive validation
- Submitted by
- Invitrogen Antibodies (provider)
- Main image

- Experimental details
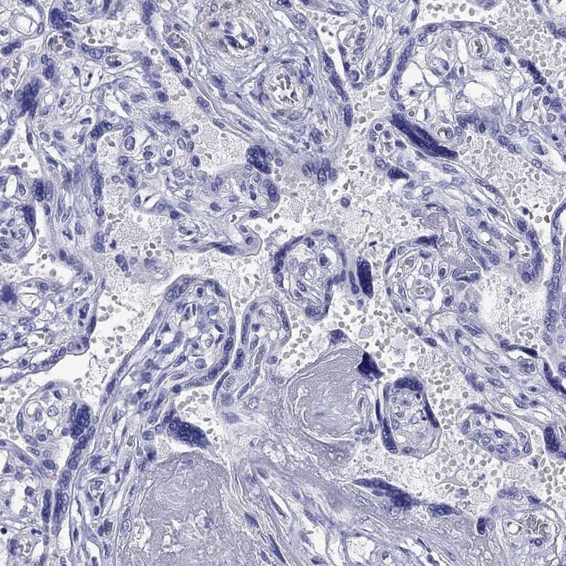
- Immunohistochemical analysis of KIAA2012 in human fallopian tube and placenta tissues using KIAA2012 Polyclonal Antibody (Product # PA5-140350) using Anti-KIAA2012 antibody. Corresponding KIAA2012 RNA-seq data are presented for the same tissues.
- Submitted by
- Invitrogen Antibodies (provider)
- Main image

- Experimental details
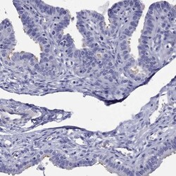
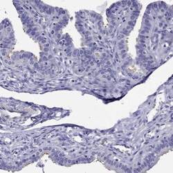
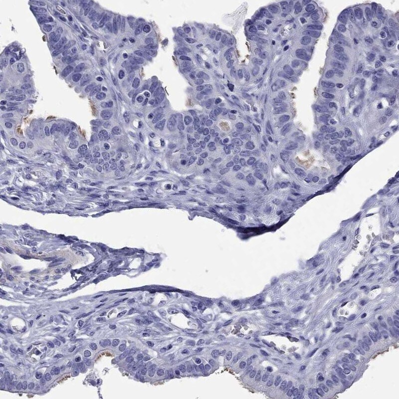
- Immunohistochemical analysis of KIAA2012 in human fallopian tube using KIAA2012 Polyclonal Antibody (Product # PA5-140350) shows high expression.
- Submitted by
- Invitrogen Antibodies (provider)
- Main image

- Experimental details
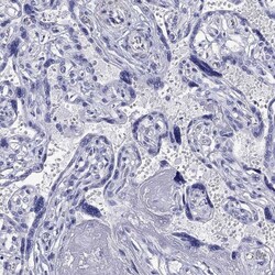
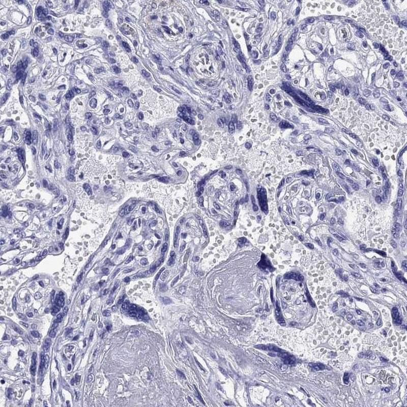
- Immunohistochemical analysis of KIAA2012 in human placenta using KIAA2012 Polyclonal Antibody (Product # PA5-140350) shows low expression as expected.
- Submitted by
- Invitrogen Antibodies (provider)
- Main image

- Experimental details
- Immunohistochemical analysis of KIAA2012 in human fallopian tube using KIAA2012 Polyclonal Antibody (Product # PA5-140350) shows high expression.
- Submitted by
- Invitrogen Antibodies (provider)
- Main image

- Experimental details
- Immunohistochemical analysis of KIAA2012 in human placenta using KIAA2012 Polyclonal Antibody (Product # PA5-140350) shows low expression as expected.