Antibody data
- Antibody Data
- Antigen structure
- References [0]
- Comments [0]
- Validations
- Western blot [1]
- Immunohistochemistry [2]
Submit
Validation data
Reference
Comment
Report error
- Product number
- LS-C447264 - Provider product page

- Provider
- LSBio
- Product name
- TMEM231 Antibody (N-Terminus, HRP) LS-C447264
- Antibody type
- Polyclonal
- Description
- Protein A purified
- Reactivity
- Human, Rat, Bovine, Canine, Guinea Pig, Porcine, Rabbit, Zebrafish
- Host
- Rabbit
- Conjugate
- Horseradish Peroxidase
- Isotype
- IgG
- Storage
- Short term: store at 4°C. Long term: add glycerol to 40-50%, aliquot to avoid freeze-thaw cycles, and store at -20°C. Protect from light.
No comments: Submit comment
Enhanced validation
- Submitted by
- LSBio (provider)
- Enhanced method
- Genetic validation
- Main image

- Experimental details
- TMEM231 / FLJ22167 antibody ARP45005_T100-NP_001070886-FLJ22167(hypothetical protein FLJ22167) Antibody Western blot of HepG2 cell lysate. This image was taken for the unconjugated form of this product. Other forms have not been tested.
Supportive validation
- Submitted by
- LSBio (provider)
- Enhanced method
- Genetic validation
- Main image

- Experimental details
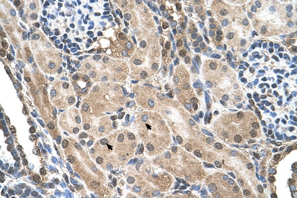
- TMEM231 / FLJ22167 antibody ARP45005_T100-NP_001070886-FLJ22167(hypothetical protein FLJ22167) Antibody IHC of formalin-fixed, paraffin-embedded human Kidney. Positive label: Epithelial cells of renal tubule indicated with arrows. Antibody concentration 4-8 ug/ml. Magnification 400X. This image was taken for the unconjugated form of this product. Other forms have not been tested.
- Submitted by
- LSBio (provider)
- Enhanced method
- Genetic validation
- Main image

- Experimental details
- TMEM231 / FLJ22167 antibody ARP45005_T100-NP_001070886-FLJ22167(hypothetical protein FLJ22167) Antibody IHC of formalin-fixed, paraffin-embedded human Kidney. Positive label: Epithelial cells of renal tubule indicated with arrows. Antibody concentration 4-8 ug/ml. Magnification 400X. This image was taken for the unconjugated form of this product. Other forms have not been tested.