Antibody data
- Antibody Data
- Antigen structure
- References [0]
- Comments [0]
- Validations
- Immunohistochemistry [3]
Submit
Validation data
Reference
Comment
Report error
- Product number
- AM26729PU-N - Provider product page

- Provider
- Acris Antibodies GmbH
- Product name
- anti GPR7
- Antibody type
- Monoclonal
- Antigen
- DNA vaccine
- Reactivity
- Human
- Host
- Mouse
- Isotype
- IgG
- Antibody clone number
- 1F9
- Vial size
- 0.2 mg
No comments: Submit comment
Supportive validation
- Submitted by
- Acris Antibodies GmbH (provider)
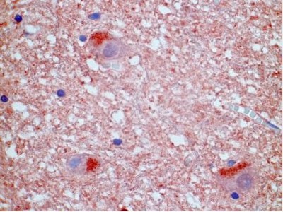
- Main image

- Experimental details
- Immunohistochemistry on paraffin sections: Human hippocampus stained with AM26729PU-N.
- Submitted by
- Acris Antibodies GmbH (provider)
- Main image

- Experimental details
- Immunohistochemistry on paraffin sections: Human hypothalamus stained with AM26729PU-N.
- Submitted by
- Acris Antibodies GmbH (provider)
- Main image

- Experimental details
- Immunohistochemistry on paraffin sections: Human cerebellum stained with AM26729PU-N.