Antibody data
- Antibody Data
- Antigen structure
- References [0]
- Comments [0]
- Validations
- Immunohistochemistry [1]
Submit
Validation data
Reference
Comment
Report error
- Product number
- NBP2-67653 - Provider product page

- Provider
- Novus Biologicals
- Product name
- Rabbit Monoclonal MSK1/RPS6KA5 Antibody
- Antibody type
- Monoclonal
- Description
- Protein A purified.
- Reactivity
- Human, Mouse, Rat
- Host
- Rabbit
- Isotype
- IgG
- Vial size
- 100 ul
- Storage
- Store at 4C short term. Aliquot and store at -20C long term. Avoid freeze-thaw cycles.
No comments: Submit comment
Supportive validation
- Submitted by
- Novus Biologicals (provider)
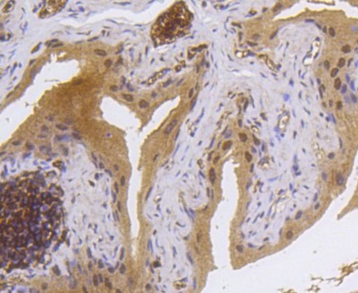
- Main image

- Experimental details
- Immunohistochemistry-Paraffin: MSK1/RPS6KA5 [p Ser376] Antibody (SN63-05) [NBP2-67653] - Analysis of paraffin-embedded mouse bladder tissue using anti-MSK1(phospho S376) antibody. Counter stained with hematoxylin.