Antibody data
- Antibody Data
 - Antigen structure
 - References [0]
 - Comments [0]
 - Validations
 - Immunohistochemistry [2]
 
Submit
Validation data
Reference
Comment
Report error
- Product number
 - ARG10582 - Provider product page

 - Provider
 - Arigo
 - Product name
 - anti-p60 antibody [E17-L]
 - Antibody type
 - Monoclonal
 - Antigen
 - Synthetic peptide around the C-terminus of Human p60
 - Reactivity
 - Human
 - Host
 - Rabbit
 - Isotype
 - IgG
 - Antibody clone number
 - E17-L
 - Vial size
 - 100 µl
 - Storage
 - For continuous use, store undiluted antibody at 2-8°C for up to a week. For long-term storage, aliquot and store at -20°C or below. Storage in frost free freezers is not recommended. Avoid repeated freeze/thaw cycles. Suggest spin the vial prior to opening.
 - Handling
 - The antibody solution should be gently mixed before use.
 
				No comments: Submit comment	
	
			
							
					Supportive validation
					
									
				
		- Submitted by
 - Arigo (provider)
 - Main image
 
- Experimental details
 - Immunohistochemistry: Formalin fixed, paraffin embedded Human lymphocytes of the germinal center of the lymph node (4 µm sections) stained with ARG10582 anti-p60 antibody [E17-L].
 
- Submitted by
 - Arigo (provider)
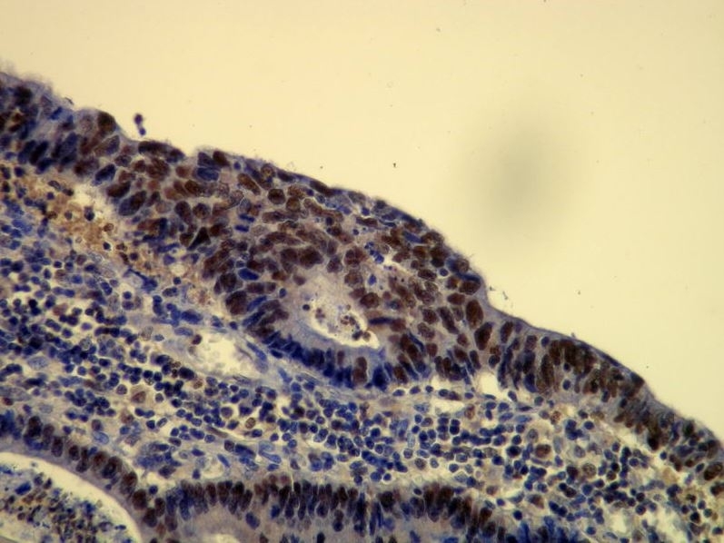
 - Main image
 
- Experimental details
 - Immunohistochemistry: Formalin fixed, paraffin embedded Human colorectal adenocarcinoma (4 µm sections) stained with ARG10582 anti-p60 antibody [E17-L].