MA5-34795
antibody from Invitrogen Antibodies
		Targeting: CHAF1B
		
		CAF-1, CAF1, CAF1A, CAF1P60, MPHOSPH7, MPP7	
	
	
	
	
Antibody data
- Antibody Data
 - Antigen structure
 - References [0]
 - Comments [0]
 - Validations
 - Western blot [1]
 - Immunocytochemistry [5]
 - Immunohistochemistry [6]
 - Flow cytometry [2]
 
Submit
Validation data
Reference
Comment
Report error
- Product number
 - MA5-34795 - Provider product page

 - Provider
 - Invitrogen Antibodies
 - Product name
 - CAF1 p60 Recombinant Rabbit Monoclonal Antibody (JG92-30)
 - Antibody type
 - Monoclonal
 - Antigen
 - Recombinant full-length protein
 - Description
 - Positive Control: SiHa, K562, A431, 293T, human tonsil tissue, human appendix tissue, human colon tissue.
 - Reactivity
 - Human
 - Host
 - Rabbit
 - Isotype
 - IgG
 - Antibody clone number
 - JG92-30
 - Vial size
 - 100 μL
 - Concentration
 - 1 mg/mL
 - Storage
 - -20°C, Avoid Freeze/Thaw Cycles, store in dark
 
				No comments: Submit comment	
	
			
							
					Supportive validation
					
									
				
				- Submitted by
 - Invitrogen Antibodies (provider)
 - Main image
 
- Experimental details
 - Western blot analysis of p60 CAF1 in Positive control: Lane 1: SiHa, Lane 2: K562, Lane 3: A431. Samples were incubated with p60 CAF1 monoclonal antibody (Product # MA5-34795), at a dilution of 1:1000.
 
							
					Supportive validation
					
									
				
				- Submitted by
 - Invitrogen Antibodies (provider)
 - Main image
 
- Experimental details
 - Immunofluorescent analysis of p60 CAF1 in SiHa cells (green). Samples were fixed in paraformaldehyde and permeabilised with 0.25% Triton X100/PBS, incubated with p60 CAF1 monoclonal antibody (Product # MA5-34795), followed by DAPI (blue).
 
- Submitted by
 - Invitrogen Antibodies (provider)
 - Main image
 
- Experimental details
 - Immunofluorescent analysis of p60 CAF1 in A431 cells (green). Samples were fixed in paraformaldehyde and permeabilised with 0.25% Triton X100/PBS, incubated with p60 CAF1 monoclonal antibody (Product # MA5-34795), followed by DAPI (blue).
 
- Submitted by
 - Invitrogen Antibodies (provider)
 - Main image
 
- Experimental details
 - Immunofluorescent analysis of p60 CAF1 in 293T cells (green). Samples were fixed in paraformaldehyde and permeabilised with 0.25% Triton X100/PBS, incubated with p60 CAF1 monoclonal antibody (Product # MA5-34795), followed by DAPI (blue).
 
- Submitted by
 - Invitrogen Antibodies (provider)
 - Main image
 
- Experimental details
 - Immunofluorescent analysis of p60 CAF1 in 293T cells (green). Samples were fixed in paraformaldehyde and permeabilised with 0.25% Triton X100/PBS, incubated with p60 CAF1 monoclonal antibody (Product # MA5-34795), followed by DAPI (blue).
 
- Submitted by
 - Invitrogen Antibodies (provider)
 - Main image
 
- Experimental details
 - Immunofluorescent analysis of p60 CAF1 in A431 cells (green). Samples were fixed in paraformaldehyde and permeabilised with 0.25% Triton X100/PBS, incubated with p60 CAF1 monoclonal antibody (Product # MA5-34795), followed by DAPI (blue).
 
							
					Supportive validation
					
									
				
				- Submitted by
 - Invitrogen Antibodies (provider)
 - Main image
 
- Experimental details
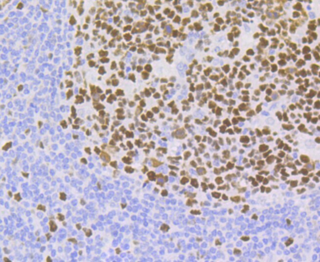
 - Immunohistochemistry analysis of p60 CAF1 in paraffin-embedded human tonsil tissue. Samples were incubated with p60 CAF1 monoclonal antibody (Product # MA5-34795), and followed by hematoxylin.
 
- Submitted by
 - Invitrogen Antibodies (provider)
 - Main image
 
- Experimental details
 - Immunohistochemistry analysis of p60 CAF1 in paraffin-embedded human appendix tissue. Samples were incubated with p60 CAF1 monoclonal antibody (Product # MA5-34795), and followed by hematoxylin.
 
- Submitted by
 - Invitrogen Antibodies (provider)
 - Main image
 
- Experimental details
 - Immunohistochemistry analysis of p60 CAF1 in paraffin-embedded human colon tissue. Samples were incubated with p60 CAF1 monoclonal antibody (Product # MA5-34795), and followed by hematoxylin.
 
- Submitted by
 - Invitrogen Antibodies (provider)
 - Main image
 
- Experimental details
 - Immunohistochemistry analysis of p60 CAF1 in paraffin-embedded human tonsil tissue. Samples were incubated with p60 CAF1 monoclonal antibody (Product # MA5-34795), and followed by hematoxylin.
 
- Submitted by
 - Invitrogen Antibodies (provider)
 - Main image
 
- Experimental details
 - Immunohistochemistry analysis of p60 CAF1 in paraffin-embedded human appendix tissue. Samples were incubated with p60 CAF1 monoclonal antibody (Product # MA5-34795), and followed by hematoxylin.
 
- Submitted by
 - Invitrogen Antibodies (provider)
 - Main image
 
- Experimental details
 - Immunohistochemistry analysis of p60 CAF1 in paraffin-embedded human colon tissue. Samples were incubated with p60 CAF1 monoclonal antibody (Product # MA5-34795), and followed by hematoxylin.
 
							
					Supportive validation
					
									
				
		- Submitted by
 - Invitrogen Antibodies (provider)
 - Main image
 
- Experimental details
 - Flow cytometry of p60 CAF1 in K562 cells (purple) compared with an unlabelled control (cells without incubation with primary antibody; yellow). Samples were incubated with p60 CAF1 monoclonal antibody (Product # MA5-34795) at a dilution of 1:100, followed by Alexa Fluor 488-conjugated goat anti-rabbit IgG.
 
- Submitted by
 - Invitrogen Antibodies (provider)
 - Main image
 
- Experimental details
 - Flow cytometry of p60 CAF1 in K562 cells (purple) compared with an unlabelled control (cells without incubation with primary antibody; yellow). Samples were incubated with p60 CAF1 monoclonal antibody (Product # MA5-34795) at a dilution of 1:100, followed by Alexa Fluor 488-conjugated goat anti-rabbit IgG.