Antibody data
- Antibody Data
- Antigen structure
- References [1]
- Comments [0]
- Validations
- Western blot [1]
- Immunohistochemistry [2]
Submit
Validation data
Reference
Comment
Report error
- Product number
- 15238-1-AP - Provider product page

- Provider
- Proteintech Group
- Proper citation
- Proteintech Cat#15238-1-AP, RRID:AB_2137505
- Product name
- MAEA antibody
- Antibody type
- Polyclonal
- Description
- MAEA antibody (Cat. #15238-1-AP) is a rabbit polyclonal antibody that shows reactivity with human and has been validated for the following applications: IHC, WB,ELISA.
- Reactivity
- Human
- Host
- Rabbit
- Conjugate
- Unconjugated
- Isotype
- IgG
- Vial size
- 20ul, 150ul
Submitted references Genome-wide CRISPR-Cas9 screen analyzed by SLIDER identifies network of repressor complexes that regulate TRIM24.
Patel LR, Stratton SA, McLaughlin M, Krause P, Allton K, Rivas AL, Barbosa D, Hart T, Barton MC
iScience 2023 Jul 21;26(7):107126
iScience 2023 Jul 21;26(7):107126
No comments: Submit comment
Supportive validation
- Submitted by
- Proteintech Group (provider)
- Main image

- Experimental details
- human heart tissue were subjected to SDS PAGE followed by western blot with 15238-1-AP(MAEA antibody) at dilution of 1:400
- Sample type
- tissue
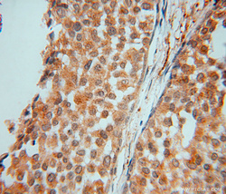
Supportive validation
- Submitted by
- Proteintech Group (provider)
- Main image

- Experimental details
- Immunohistochemical of paraffin-embedded human breast cancer using 15238-1-AP(MAEA antibody) at dilution of 1:50 (under 10x lens)
- Sample type
- tissue
- Submitted by
- Proteintech Group (provider)
- Main image

- Experimental details
- The MAEA antibody from Proteintech is a rabbit polyclonal antibody to a recombinant protein of human MAEA. This antibody recognizes human, mouse, rat antigen. The MAEA antibody has been validated for the following applications: ELISA, WB, IHC analysis.