Antibody data
- Antibody Data
- Antigen structure
- References [0]
- Comments [0]
- Validations
- Western blot [1]
- Immunohistochemistry [1]
Submit
Validation data
Reference
Comment
Report error
- Product number
- TA345857 - Provider product page

- Provider
- OriGene
- Product name
- Rabbit Polyclonal Anti-NOL4 Antibody
- Antibody type
- Polyclonal
- Description
- Rabbit Polyclonal Anti-NOL4 Antibody
- Host
- Rabbit
- Conjugate
- Unconjugated
- Epitope
- NOL4
- Isotype
- IgG
- Antibody clone number
- NULL
- Vial size
- 100 µl
- Concentration
- NULL
No comments: Submit comment
Supportive validation
- Submitted by
- OriGene (provider)
- Main image

- Experimental details
- WB Suggested Anti-NOL4 Antibody Titration: 0.2-1 ug/ml; ELISA Titer: 1: 12500; Positive Control: HepG2 cell lysate
- Validation comment
- WB
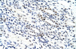
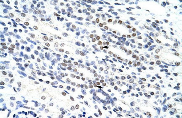
Supportive validation
- Submitted by
- OriGene (provider)
- Main image

- Experimental details
- Rabbit Anti-NOL4 Antibody; Paraffin Embedded Tissue: Human Kidney; Cellular Data: Epithelial cells of renal tubule; Antibody Concentration: 4.0-8.0 ug/ml; Magnification: 400X
- Validation comment
- IHC