Antibody data
- Antibody Data
- Antigen structure
- References [0]
- Comments [0]
- Validations
- Immunocytochemistry [1]
- Immunohistochemistry [1]
Submit
Validation data
Reference
Comment
Report error
- Product number
- H00008715-M01 - Provider product page

- Provider
- Abnova Corporation
- Proper citation
- Abnova Corporation Cat#H00008715-M01, RRID:AB_534964
- Product name
- NOL4 monoclonal antibody (M01), clone 2A10
- Antibody type
- Monoclonal
- Description
- Mouse monoclonal antibody raised against a partial recombinant NOL4.
- Antigen sequence
PGSQDVLYINGNGTYSYHSYRGLGGGLLNLNDASS
SGPTDLSMKRQLATSSGSSSSSNSRPQLSPTEINA
VRQLVAGYRESAAFLLRSADELENLILQQN- Isotype
- IgG
- Antibody clone number
- 2A10
- Storage
- Store at -20°C or lower. Aliquot to avoid repeated freezing and thawing.
No comments: Submit comment
Supportive validation
- Submitted by
- Abnova Corporation (provider)
- Main image

- Experimental details
- Immunofluorescence of monoclonal antibody to NOL4 on HeLa cell . [antibody concentration 10 ug/ml]
- Validation comment
- Immunofluorescence
- Protocol
- Protocol
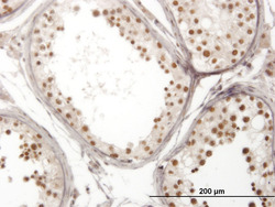
Supportive validation
- Submitted by
- Abnova Corporation (provider)
- Main image

- Experimental details
- Immunoperoxidase of monoclonal antibody to NOL4 on formalin-fixed paraffin-embedded human testis. [antibody concentration 3 ug/ml]
- Validation comment
- Immunohistochemistry (Formalin/PFA-fixed paraffin-embedded sections)
- Protocol
- Protocol