Antibody data
- Antibody Data
- Antigen structure
- References [0]
- Comments [0]
- Validations
- Immunocytochemistry [3]
- Immunohistochemistry [1]
Submit
Validation data
Reference
Comment
Report error
- Product number
- PA5-51865 - Provider product page

- Provider
- Invitrogen Antibodies
- Product name
- ZNF155 Polyclonal Antibody
- Antibody type
- Polyclonal
- Antigen
- Recombinant protein fragment
- Description
- Immunogen sequence: TCHFLREEKF WMMGTATQRE GNSGGKIQTE LESVPEAGAH EEWSCQQIWE QIAKDLTRSQ DSIINNSQFF ENGDVPSQVE AGLPTIHTGQ KPSQGGKCKQ SFSDVPIFDL PQ Highest antigen sequence identity to the following orthologs: Mouse - 24%, Rat - 22%.
- Reactivity
- Human
- Host
- Rabbit
- Isotype
- IgG
- Vial size
- 100 μL
- Concentration
- 0.1 mg/mL
- Storage
- Store at 4°C short term. For long term storage, store at -20°C, avoiding freeze/thaw cycles.
No comments: Submit comment
Supportive validation
- Submitted by
- Invitrogen Antibodies (provider)
- Main image

- Experimental details
- Immunofluorescent staining of ZNF155 in human cell line U-251 MG shows positivity in cytoplasm & nucleus but excluded from the nucleoli. Samples were probed using a ZNF155 Polyclonal Antibody (Product # PA5-51865).
- Submitted by
- Invitrogen Antibodies (provider)
- Main image

- Experimental details
- Immunofluorescent staining of ZNF155 in human cell line A-431 using a ZNF155 Polyclonal Antibody (Product # PA5-51865) shows localization to nucleoplasm and cytosol.
- Submitted by
- Invitrogen Antibodies (provider)
- Main image

- Experimental details
- Immunofluorescent staining of ZNF155 in human cell line A-431 using a ZNF155 Polyclonal Antibody (Product # PA5-51865) shows localization to nucleoplasm and cytosol.
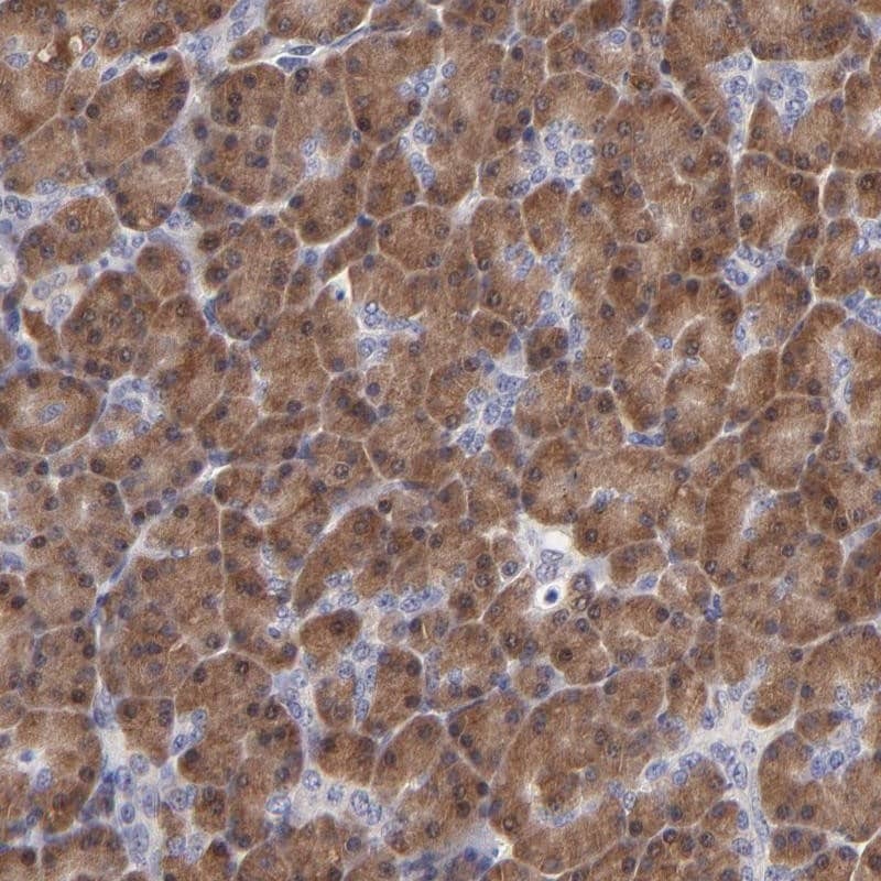
Supportive validation
- Submitted by
- Invitrogen Antibodies (provider)
- Main image

- Experimental details
- Immunohistochemical analysis of ZNF155 in human pancreas using ZNF155 Polyclonal Antibody (Product # PA5-51865) shows cytoplasmic positivity in exocrine glandular cells.